체외 충격파로 치료 안되던 석회성건염 환자 완치 이야기 (당산 정형외과, 당산역 정형외과, 영등포 정형외과)
당산 정형외과, 당산역 정형외과, 영등포 정형외과
안녕하세요 오늘은 충격파 치료만으로 해결이 되지 않던 석회성 건염 환지의 치료 사례를 보여드리겠습니다. 얼마전 진료실에 연세가 70이 넘으신 어르신이 오셨습니다.
나 : 어르신 어디가 아파서 오셨어요?
환자 : 어깨가 아파요
나 : 아픈지 얼마나 되셨어요?
환자 : 6개월 정도는 된거 같네요.
나 : 그동안 치료 안받으셨어요?
환자 : 치료했죠. 다른 병원에서 어깨에 석회가 끼었다고 해서 그동안 계속 치료 받았는데도 계속 아프네요
나 : 아 그래요? 무슨 치료를 받으셨어요?
환자 : 석회를 깨트리는 충격파 치료라고 해서 받았어요. 거의 10번은 받은거 같은데...
석회성 건염(석회화 건염)을 진단받고 체외 충격파 치료만 무려 10회 이상 받았다는 환자, 팔을 올리고 내릴때 통증이 있고 어깨 가동범위도 떨어지고, 잘때도 아픈 증상등이 있는거 봐서는 어깨 석회가 해결되지 않아 보였습니다.
나 : 다른병원에서 찍은 사진 가지고 오신거 없죠?
환자 : 네 그냥 왔어요
나 : 그럼 검사를 좀 할건데요... x-ray 검사랑 초음파 검사부터 좀 할께요

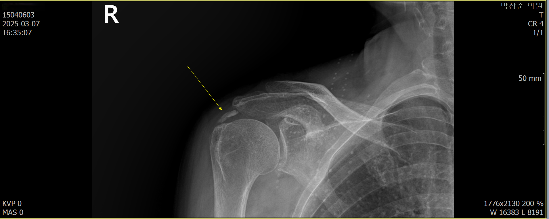
석회성 건염의 경우 사이즈가 조금만 커도 x-ray에서 쉽게 진단이 가능합니다. 이 환자분의 경우 우측 어깨에 사이즈가 꽤 커다란 석회가 관찰되고 있었습니다.
나 : 보시다시피 여기 이렇게 큰 석회가 들어 있네요. 이전에도 이정도로 보였나요?
환자 : 정확히는 기억 안나지만... 비슷한거 같은데...
나 : 그럼 체외 충격파만으로는 치료가 안되는 케이스네요.
환자 : 그럼 어떻게 해야하죠? 수술해야 하나요?
나 : 이런 경우는 우선 석회 흡입술이라고해서 약물로 녹여서 빼내는 치료가 있어요 그걸 충겨파랑 같이 하셔야 해요
환자 : 그럼 없어질까요?
나 : 석회 모양이나 색깔을 봐서는 5회정도 치료 받으시면 80~90%는 사라질거 같네요.
환자 : 그럼 그렇게 치료 해볼께요.
우선 아래 동영상은 초음파로 보면서 석회가 있는 부위에 주사 바늘을 놓고 시술하는 영상입니다.
그리고 아래 영상은 시술을 할때 주사기로 실제 하얗고 뿌연 석회가 배출되는 영상입니다.
마지막 영상은 이렇게 배출된 석회가 주사 용액속에서 어떻게 보이는 촬영한 영상입니다.
이 환자분은 이렇게 5회에 걸쳐서 초음파를 보면서 석회를 흡입하는 석회 흡입술 + 체외 충격파 치료를 시행했습니다. 그 결과는?

위에 비포 & 애프터 사진에서 보다시피 처음보이던 커다란 석회가 5회의 치료동안 약 90% 가량 사라진것을 확인할 수 있습니다.
나 : 석회가 예상한것보다 훨씬 더 많이 사라졌네요. 다행이에요
환자 : 정말 그러네요. 감사합니다.
나 : 지금 통증은 없으세요?
환자 : 네 지금은 아픈게 없어요. 근데 앞으로 뭘 주의해야 하나요?
나 : 석회라는게 내가 뭘 잘못해서 생기는게 아니거든요. 이런게 체질적으로 생기는 분인거라서 미리미리 예방할 수 있는 방법이 딱히 없어요
환자 : 아 그래요?
나 : 그래서 최선의 방법은 어디든 괜히 아프면 빨리 방문하셔서 진단받고 치료 받으셔야 해요. 석회가 오래되서 굳어버리면 이렇게 사라지지 않는 분들도 있거든요
환자 : 네 알겠습니다. 어디든지 아프면 빨리빨리 방문할께요.
이 글을 보시는 분들 중에 혹시나 제거되지 않는 석회성 건염으로 고생중이시라면 체외 충격파만 고집하지 마시고 석회 흡입술도 고려해보시길 바랍니다.
당산 정형외과, 당산역 정형외과, 영등포 정형외과

