[박상준원장/통증이야기] - 배가 아프다고 온 배드민턴 선수 이야기(1)
나 : 시합은 나가셨어요? 복부 통증은 좀 어떠세요?
환자 : 원장님.... 시합도 망쳤고... 무엇보다 통증이 훨씬 심해졌어요 ㅜㅜ
나 : 연습하다 다시 통증이 생긴거에요? 아니면 시합중에?
환자 : 시합에 나가기 위해서 연습은 거의 안했구요... 시합에 나가서 첫 게임에 스매싱하다가 갑자기 배에서 '뻑' 소리가 나서 쓰러졌어요...
나 : 그래서 어떻게 됬어요?
환자 : 어찌어찌 시합은 마쳤는데.... 배에 멍도 들고 무엇보다 배가 너무 아파요 ㅜㅜ
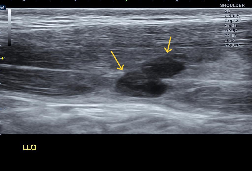
무조건 시합은 뛰어야 한다고 했던 환자.. 부상과 통증을 참고 어쩔 수 없이 시합에 참가한 후 부상이 심해진 걸로 보입니다. 좌측 하복부에 압통은 좀 더 심해져 있었고 주변에 멍까지 든걸로 봐서는 복직근 파열이 더 심해졌을 것으로 추측이 되었습니다.
나: 초음파 검사 좀 다시 할께요
환자 : 네...
왜 슬픈 예감은 틀린적이 없을까요...일주일만에 다시 시행한 초음파 검사 상에서는... 복직근 파열이 훨씬 심해져 있었습니다.
나 : 아..... 안좋은 상태네요.... 복직근 파열이 훨씬 심해졌네요...
환자 : 얼마나 심한가요?
나 : 초음파 한번 보세요.... 지난주에 비해 파열 크기가 훨씬 커졌어요... 근육에 빵꾸가 2개나 나버렸어요...


환자 : ㅜㅜ
나 : 다음 시합이 또 잡혀있나요?
환자 : 아뇨.... 당분간 시합은 없습니다.
나 : 이제부터는 무조건... 정말 무조건 쉬셔야 되요. 어설프게 안아프다고 다시 운동하다가 또 찢어지면 안되요.
환자 : 아 네 그래야죠... 근데 회복하는데 얼마나 걸릴까요?
나 : 일주일간격으로 초음파로 확인해봐야 알겠지만... 이정도면 아마 4주정도?? 넉넉잡고 6주 정도는 걸리지 않을까 합니다.
환자 : 아 그렇군요... 알겠습니다. 선생님이 운동 해도 된다고 할때까지 무조건 쉬겠습니다.
환자의 증상이 심해진만큼 복직근 파열도 훨씬 심해져 있었습니다. 보통 근육은 혈관 분포가 풍부해서 왠만큼 찢어져도 잘 붙는 조직입니다. 문제는 일상 생활에서는 근육 파열 통증이 금방 사라지기 때문에 완전히 회복하지 않은 상태에서 운동을 다시 하는 경우가 많고 그러다가 재파열이 흔하게 발생한다는 점입니다.
이런 경우에는 초음파 검사를 1~2주 간격으로 시행해서 근육 손상이 회복된것을 정확히 확인 후 운동을 복귀해야 부상의 재발을 막을 수 있습니다.
당산 정형외과, 당산역 정형외과, 당산동 정형외과, 합정역 정형외과, 합정 정형외과, 여의도 정형외과
