당산역 정형외과 박상준의원 공식 블로그

박상준원장/통증이야기 77

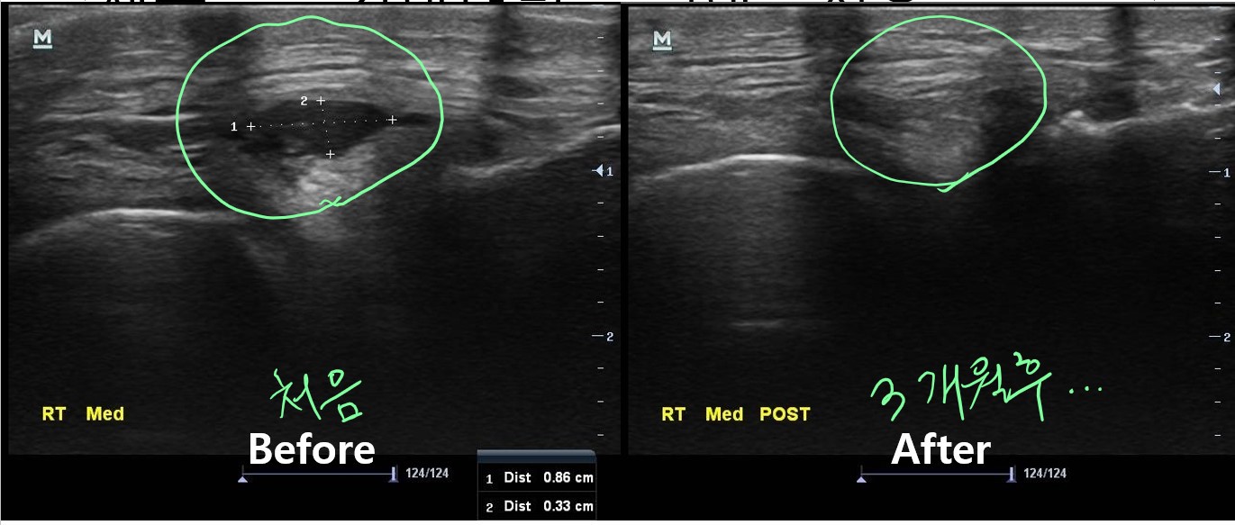
체외 충격파로 치료 안되던 석회성건염 환자 완치 이야기 (당산 정형외과, 당산역 정형외과, 영등포 정형외과)

당산 정형외과, 당산역 정형외과, 영등포 정형외과안녕하세요 오늘은 충격파 치료만으로 해결이 되지 않던 석회성 건염 환지의 치료 사례를 보여드리겠습니다. 얼마전 진료실에 연세가 70이 넘으신 어르신이 오셨습니다.나 : 어르신 어디가 아파서 오셨어요? 환자 : 어깨가 아파요 나 : 아픈지 얼마나 되셨어요? 환자 : 6개월 정도는 된거 같네요. 나 : 그동안 치료 안받으셨어요? 환자 : 치료했죠. 다른 병원에서 어깨에 석회가 끼었다고 해서 그동안 계속 치료 받았는데도 계속 아프네요 나 : 아 그래요? 무슨 치료를 받으셨어요? 환자 : 석회를 깨트리는 충격파 치료라고 해서 받았어요. 거의 10번은 받은거 같은데...석회성 건염(석회화 건염)을 진단받고 체외 충격파 치료만 무려 10회 이상 받았다는 환자, 팔을 ..

운동하다가 종아리 근육 두 번 찢어진 환자 이야기 (당산 정형외과, 당산역 정형외과, 영등포 정형외과)

당산 정형외과, 당산역 정형외과, 영등포 정형외과안녕하세요 박상준원장입니다. 오늘은 운동하다가 종아리 근육이 파열된 환자 이야기를 해볼까합니다.나 : 어디가 불편하세요?환자 : 종아리가 아픕니다. 나 : 무슨일이 있으셨나요? 환자 : 며칠전에 농구하다가 종아리가 뜨끔했는데요... 그 이후로 계속 아프네요.. 농구하다가 갑자기 종아리 통증이 생겼다는 환자... 종아리를 살펴보니 우측 종아리 알통(비복근) 부위가 많이 부어있었습니다.나 : 보통 이런경우는 종아리 근육, 비복근 파열입니다. 검사를 좀 할건데요... x-ray 검사와 초음파 검사를 좀 하겠습니다.환자분에게 설명하고 검사를 진행했습니다. 결과는...당산 정형외과, 당산역 정형외과, 영등포 정형외과x-ray 상에서도 보면 우측 종아리 근육 부위가 ..

어깨 아프다고 미국에서 찾아온 환자 이야기 (당산 정형외과, 당산역 정형외과, 영등포 정형외과)

당산 정형외과, 당산역 정형외과, 영등포 정형외과안녕하세요 박상준원장입니다. 오늘은 어깨 통증으로 미국에서 찾아온(?) 환자 이야기를 해볼까 합니다. 얼마전 환자 한분이 오셨습니다. 접수를 했는데 이름은 한국인인데 건강보험이 없는지.... 일반으로 접수가 되었습니다.나 : 안녕하세요 어디가 아파서 오셨어요?환자 : 어깨가 아파서 왔습니다.나 : 어떻게 뭐하다가 통증이 생겼나요?환자 : 제가 집안 수리를 하면서 팔을 많이 사용하는데요... 3개월전 힘을주면서 팔을 쭉 뻗다가 뜨끔했는데 통증이 지속되네요나 : 검사는 안받으셨나요?환자 : 네 검사는 안받았습니다.나 : 우선 검사를 좀 할께요.... 근데 건강보험 적용이 안되네요?환자 : 아... 사실 제가 지금 미국에 사는 중인데... 볼일보러 한국 들어왔다..

석회성 건염은 치료될 수 있을까? (당산 정형외과, 당산역 정형외과, 영등포 정형외과)

안녕하세요 박상준 원장입니다. 오늘은 석회성 건염에 관한 이야기를 해볼까 합니다. 진료실에 있다보면 갑작스런 관절 통증으로 찾아오시는 분들이 많습니다. 갑작스런 관절 통증을 일으키는 질병은 여러가지가 있겠지만... 그중 대표적인 질병이 바로 '석회성 건염' 또는 '석회화 건염'이라는 질병입니다.당산 정형외과, 당산역 정형외과, 영등포 정형외과 석회성 건염은 어떤 질병인가요? 네이버 지식 백과에 따르면 ' 석회성건염은 칼슘 퇴적물이 힘줄에 침윤된, 자기 국한성의 통증을 동반하는 질병이다. 석회성건염은 우리 몸의 어느 힘줄에도 나타날 수 있지만, 대부분 어깨 관절의 극상건에서 발생하여 염증 및 통증을 야기하게 된다. [네이버 지식백과] 석회성건염 [Calcific tendinitis] (서울대학교병원 의학정..

배가 아프다고 온 배드민턴 선수 이야기(1) (당산정형외과, 당산역정형외과, 당산동정형외과, 당산 통증의학과, 당산역 통증의학과, 당산동 통증의학과)

당산정형외과 당산역정형외과 당산동정형외과 여의도정형외과 합정정형외과 합정역정형외과 당산통증의학과 당산역통증의학과 당산동통증의학과 선유도정형외과 선유도역정형외과안녕하세요 박상준 원장입니다. 오늘은 배가 아프다?고 온 배드민턴 선수 이야기를 해볼까 합니다.나 : 안녕하세요, 어디가 불편해서 오셨어요?환자 : 배가 아파서 왔습니다. 나 : 아 배가 아프세요... 설사를 하나요? 토하나요?환자 : 아 그렇게 아픈 배가 아닌데요... 제가 주로 진료를 보는 내용은 정형외과, 통증의학과인데... 그래도 가끔 감기 기운이나 장염, 위염, 고혈압, 당뇨등등으로 진료를 보러 오시는 환자분들이 있어서 위염이나 장염인가 했습니다. 나 : 그럼 어떻게 아프신데요.환자 : 아 사실 제가 배드민턴 선수인데요... 어제 연습중에 ..

웨이트 트레이닝 하고 어깨가 아프다고 온 환자 이야기 (당산 정형외과 당산역 정형외과)

안녕하세요 박상준원장입니다. 아주 오랫만에 블로그에 글을 올리네요... 오늘은 크로스핏 하다가 어깨가 아파서 온 환자 이야기를 좀 해볼까 합니다.나 : 어디가 아프세요?환자 : 우측 어깨가 아픕니다나 : 언제 무슨일이 있으셨어요?환자 : 제가 웨이트 트레이닝을 시작했는데.... 벤치 프레스랑 턱걸이 하면서 통증이 생겼습니다 웨이트 트레이닝을 하면서 어깨가 아파졌다는 환자, 우선 x-ray를 찍었습니다. 사진을 보니 우측 상완골 대결절 부위에 골극이 보입니다. 골극(bone spur)은 쉬운말로 '뼈가 자라있다'라고 말하곤 하는데요... 뼈의 특정 부위에 오랫동안 염증이 반복되는 등의 자극이 반복되면 관찰되는 소견입니다.나 : 어깨가 아프신게 처음이에요? 이전에도 약간씩 불편감이 있을셨을거 같은데요...환..

집에서 하는 허리 디스크 셀프 확인법 (당산 당산역 당산동 여의도 합정 목동 영등포 영등포구청 선유도 양평동 국회의사당 정형외과 야간진료 도수치료 통증의학과 )

당산 당산역 당산동 여의도 합정 목동 영등포 영등포구청 선유도 양평동 국회의사당 정형외과 야간진료 도수치료 통증의학과 박상준 의원)허리 통증은 감기 다음으로 흔하게 걸리는 질환인데요..... 이렇게 허리가 아프면 허리 디스크가 아닌지 덜컥 겁이납니다.이때 집에서 스스로 디스크 여부를 확인하는 방법을 알고 있다면? 도움이 되겠죠.그래서 오늘은 집에서 하는 허리디스크 셀프 확인법을 알려드리겠습니다.허리 디스크를 의심할 수 있는 증상은 다음 4가지 입니다.(1) 허리통증(2) 방사통 (신경통) : 다리저림, 온도감각 이상, 이상감각...(3) 하지 직거상 검사 양성반응(4) 엄지 발가락 근력저하이 4가지 사항에 해당된다면? 4천만의 허리 디스크, 요추 4,5번 디스크 가능성이 높다고 보시면 됩니다.그럼 더 자..

골프 중독으로 어깨 힘줄 끊어진 환자 이야기 (당산정형외과 당산역정형외과 당산동정형외과 여의도정형외과 합정정형외과 목동정형외과 영등포정형외과 영등포구청정형외과 선유도정형..

당산정형외과 당산역정형외과 당산동정형외과 여의도정형외과 합정정형외과 목동정형외과 영등포정형외과 영등포구청정형외과 선유도정형외과 도수치료 박상준의원)안녕하세요 박상준원장입니다. 오늘은 얼마전에 어깨 통증으로 방문한 환자 이야기를 해볼까 합니다. 나 : 어디가 불편해서 오셨어요?환자 : 어깨가 아픕니다.나 : 아픈지 얼마나 되셨나요?환자 : 그게.... 대략 3년정도 되었네요 꽤 오랜시간 어깨가 아팠다는 환자분.... 나 : 아프신지가 꽤 오래되었네요? 병원은 처음 오신 거에요?환자 : 네 아프지는 오래되었는데 ... 병원은 처음이네요... 제가 아픈걸 잘 참아서요... 아픈걸 잘 참아왔다는 환자분..... 그런데 나 : 병원 방문을 결심하신 이유가 있나요?환자 : 그동안은 그럭저럭 지냈는데.... 몇주전..

연골주사 맞고도 무릎이 아프다는 환자 이야기 (당산정형외과 당산역정형외과 당산동정형외과 여의도정형외과 합정정형외과 목동정형외과 영등포정형외과 영등포구청정형외과 선유도정형..

박상준 의원 병원위치, 진료시간, 연락처 등등이 궁금하면 클릭하세요. ^^ (당산 당산역 당산동 여의도 합정 목동 영등포 영등포구청 선유도 양평동 국회의사당 정형외과 야간진료 도수치료 통증의학과 박상준의원) 안녕하세요 당산 정형외과 박상준의원 박상준원장입니다. 오늘은 얼마전에 무릎이 아프다고 온 환자 이야기를 해볼까 합니다. 얼마전 중년의 환자분이 진료실로 들어오셨습니다. 나 : 안녕하세요 , 어디가 불편하세요? 환자 : 무릎이 불편합니다. 다리가 불편한지 약간 절뚝이던 남자분... 문제는 무릎이었습니다. 나 : 아픈지 얼마나 되셨나요? 다치거나 무리한게 있으세요? 다리를 많이 쓰는 일을 하시나요? 환자 : 불편한지가..... 3개월정도 되었구요... 다치거나 특별한 일은 없었습니다. 특별한 운동도 하지..

아침에 세수하다가 허리를 삐끗하는 이유??!! (당산정형외과 당산역정형외과 당산동정형외과 여의도정형외과 합정정형외과 목동정형외과 영등포정형외과 영등포구청정형외과 선유도정형외..

박상준 의원 병원위치, 진료시간, 연락처 등등이 궁금하면 클릭하세요. ^^ (당산정형외과 당산역정형외과 당산동정형외과 여의도정형외과 합정정형외과 목동정형외과 영등포정형외과 영등포구청정형외과 선유도정형외과) https://youtu.be/fzdIa5HL3QA 안녕하세요 당산역 정형외과 몸짱이었던 박원장입니다. 오늘이 몸짱이었던 박원장티비 첫번째 영상인데요. 제가 처음으로 준비한 주제는 바로 허리 통증입니다. 이 영상을 보시는 분도 그렇고 주변에도 허리 통증으로 고생하는 경우 많으실 겁니다. 허리 통증이 발생하는 이유는 여러가지가 있지만 급성으로 통증이 생기는 대표적인 상황이 바로 아침에 세수하거나 머리를 감다가 삐끗하는 경우입니다. 실제로 진료실에 있다보면 이런 급작스런 통증으로 아침부터 허리를 부여잡고 ..