당산 정형외과, 당산역 정형외과, 영등포 정형외과
안녕하세요 박상준원장입니다. 오늘은 운동하다가 종아리 근육이 파열된 환자 이야기를 해볼까합니다.
나 : 어디가 불편하세요?
환자 : 종아리가 아픕니다.
나 : 무슨일이 있으셨나요?
환자 : 며칠전에 농구하다가 종아리가 뜨끔했는데요... 그 이후로 계속 아프네요..
농구하다가 갑자기 종아리 통증이 생겼다는 환자... 종아리를 살펴보니 우측 종아리 알통(비복근) 부위가 많이 부어있었습니다.
나 : 보통 이런경우는 종아리 근육, 비복근 파열입니다. 검사를 좀 할건데요... x-ray 검사와 초음파 검사를 좀 하겠습니다.
환자분에게 설명하고 검사를 진행했습니다. 결과는...

당산 정형외과, 당산역 정형외과, 영등포 정형외과
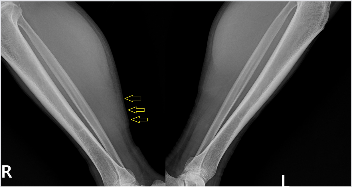
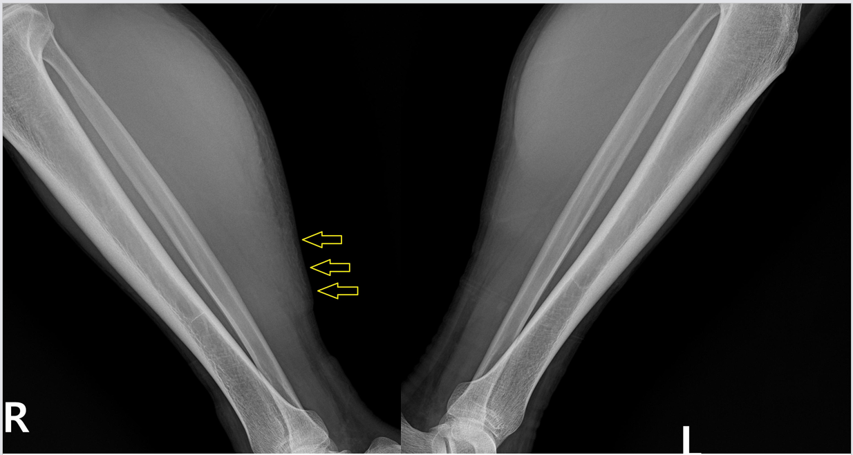
x-ray 상에서도 보면 우측 종아리 근육 부위가 좌측에 비해 더 하얗게 부어 있는걸 볼 수 있습니다. 아마도 종아리 근육이 꽤 많이 찢어진거 같습니다. 그런데 근육은 x-ray만으로는 자세히 보기가 어렵습니다. 그래서 근육을 더 정확하게 볼 수 있는 초음파 검사를 진행했습니다. 초음파 결과는....

초음파 검사를 하니 근육 파열을 더 자세히 확인할 수 있습니다. 근육은 각각 근막으로 둘러쌓여 있고 이게 근육과 근육을 얇게 구분해주고 있는데요, 근육이 찢어지면 보통 이 근막이 벌어지게 됩니다. 이 환자분도 근막이 벌어지는 근육파열 양상을 보이고 있습니다
나 : 예상한대로 근육파열이네요
환자 : 심한가요?
나 : 네 꽤 찢어졌네요... 혹시 깁스 하실 수 있을까요?
환자 : 깁스요? 제가 하는 일때문에 어려울거 같은데요
나 : ㅇ,ㅁ.. 이정도면 깁스 하시는게 좋긴한데... 못하신다면 조심하시면서 좀 지켜보죠. 대신 깁스 하셨다 생각하고 조심하셔야 합니다
환자 : 네 그래볼께요...
나 : 그리고 일주일후에 오셔서 초음파 다시 보고 만약 파열이 심하면 그냥 깁스 하셔야 합니다
우선 처음 진료는 그렇게 마무리 되었습니다. 환자는 일주일이 되어도 다시 방문하지는 않았고 자연스레 좋아지시나 보다 했습니다. 그런데 3주후 환자가 다시 방문하였습니다. 진료실로 들어오는데 걸음 걸이가 심상치 않습니다.
나 : 걸음 걸이가 더 안좋으시네요? 무슨일 있으셨어요?
환자 : 1~2주 지나면서 서서히 좋아지길래 지난주에 운동을 다시 했는데요... 농구 시작하자마자 통증이 갑자기 생겼습니다.
나 : 아이고... 이게 좀 괜찮다고 운동 하시면 안되는데.... 우선 초음파만 다시 보겠습니다.
다시 촬영한 초음파 검사는

근육 파열이 훨씬 심해지고 근막이 다 벌어지면서 피가 고여있는 모습을 보이고 있습니다.
나 : 근육 파열이 훨씬 심해졌네요. 이제는 선택의 여지가 없습니다. 깁스 하셔야 합니다
환자 : 안하면 어떻게 되나요?
나 : 우선 통증과 불편감이 오래 가구요, 제일 문제는 근육이 말려 올라갈 수 있습니다.
환자 : 근육이 말려 올라간다구요? ㅜㅜ
나 : 네 비복근 파열이 심한 상태에서 제대로 치료 받지 않으면 그럴 수 있어요
환자 : 네 알겠습니다. 해야죠 뭐 ㅜㅜ
나 : 우선 고여있는 피를 좀 빼구요 주사, 물리치료 받고 나오시면 깁스 해드릴께요
당산 정형외과, 당산역 정형외과, 영등포 정형외과
근육 파열의 경우 1~2주만 지나고 일상생활에서 빨리 편해지는 경우가 있습니다. 이런 경우 다 나았다고 착각하고 바로 운동을 시작하는 분들이 있는데요, 이게 근육 파열을 더 심하게 하는 경우를 종종 봅니다. 근육은 초음파로 확인해야 정확하기 때문에 호전 판정을 받고 다시 운동을 시작해야 이런 불상사를 막을 수 있습니다.

