당산 정형외과, 당산역 정형외과, 영등포 정형외과
안녕하세요 박상준원장입니다. 오늘은 어깨 통증으로 미국에서 찾아온(?) 환자 이야기를 해볼까 합니다. 얼마전 환자 한분이 오셨습니다. 접수를 했는데 이름은 한국인인데 건강보험이 없는지.... 일반으로 접수가 되었습니다.
나 : 안녕하세요 어디가 아파서 오셨어요?
환자 : 어깨가 아파서 왔습니다.
나 : 어떻게 뭐하다가 통증이 생겼나요?
환자 : 제가 집안 수리를 하면서 팔을 많이 사용하는데요... 3개월전 힘을주면서 팔을 쭉 뻗다가 뜨끔했는데 통증이 지속되네요
나 : 검사는 안받으셨나요?
환자 : 네 검사는 안받았습니다.
나 : 우선 검사를 좀 할께요.... 근데 건강보험 적용이 안되네요?
환자 : 아... 사실 제가 지금 미국에 사는 중인데... 볼일보러 한국 들어왔다가 전체적인 건강 검진이랑 치과진료, 그 외 아픈곳 체크하는 중이라 현재 건강보험이 없네요.
나 : 아..... 그러시군요. 아무튼 검사를 좀 진행하겠습니다.
한국에 들어온김에 건강검진 및 치과 진료, 등등.... 진행중이라는 환자분. 건강보험은 없지만 x-ray 촬영, 그리고 초음파 검사를 진행하기로 했습니다.
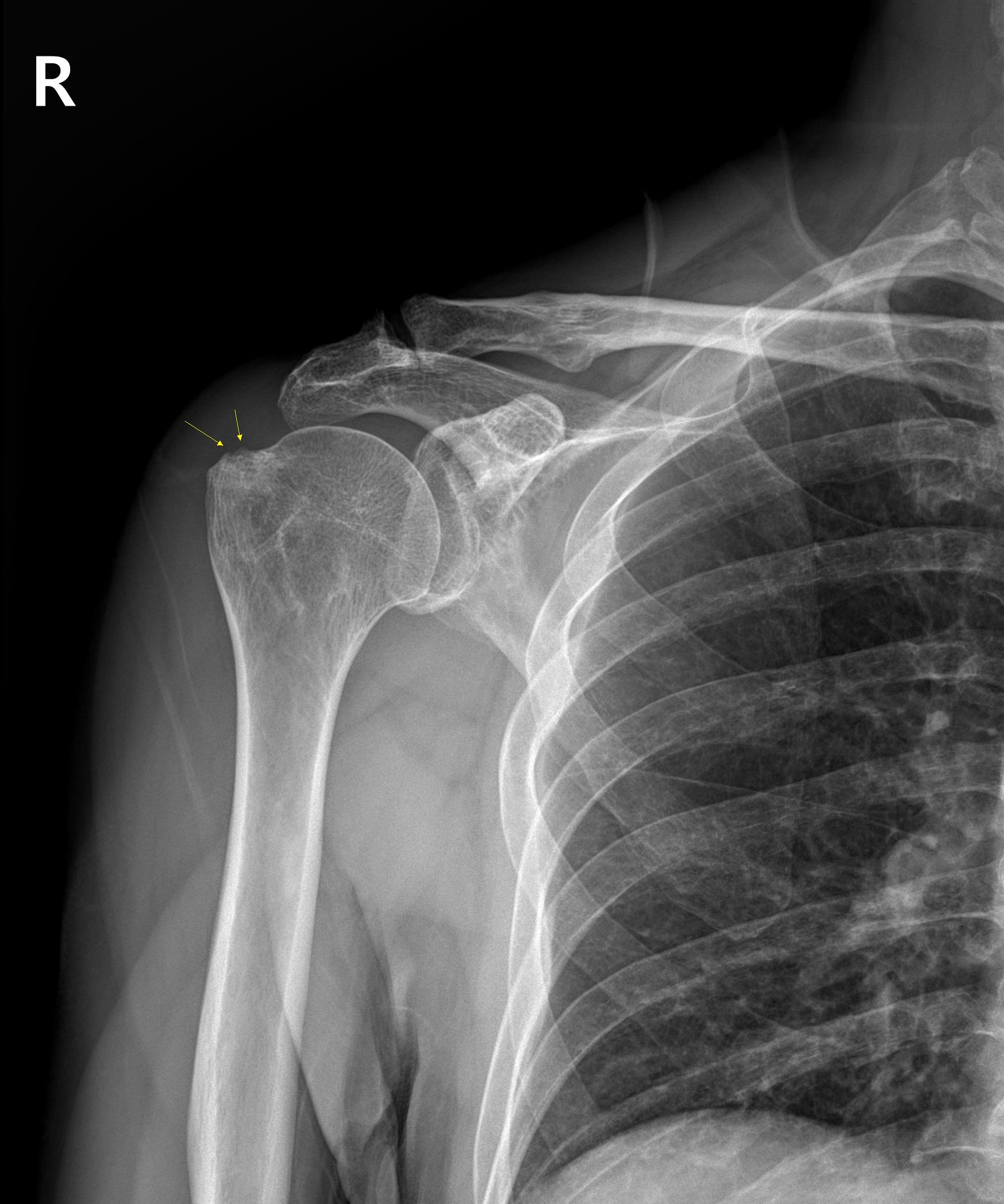
x-ray 결과는....

골절이나 석회는 아니지만 뼈의 라인이 좀 울퉁불퉁한 소견을 보이네요. 이걸 골극(bone spur)라고 하는데요. 염증이라던지 등등...의 문제가 오래 반복되면 그 부위의 뼈가 지저분해지는 소견이 보입니다. 예를들면 무릎의 퇴행성 관절염이 진행되면 그 부위의 뼈가 튀어나면서 지저분해지는 거죠.
골극이 보인다는건 어떤 문제가 생긴지 좀 오래 되었다는걸 말합니다.
진짜 문제는 초음파 검사였는데요... 초음파 검사상에는....

우선 어깨의 윤활낭이라는 공간이 있습니다. 어깨를 사용하면서 주변 조직과 부딪힐때 이 충격을 흡수해주는 물이 담긴 공간인데요. 이 공간에 물이 차있는게 보이네요. 쉽게 말하면 염증이 심해져있는 거죠
나 : 어깨에 물이 좀 찼구요....
환자 : 어깨에도 물이 차나요? 무릎에 물이 찬다는 이야기는 들어 봤는데,,,,
나 : 네 무릎만큼 흔하지는 않지만 어깨에도 가끔 물이찹니다.


마지막 초음파에서는 어깨 극상근의 파열 소견이 관찰되고 있습니다. 정확한건 mri 를 찍어봐야 하겠지만 찢어진 길이와 정도로 봐서는 수술이 필요한 극상근 전층파열로 생각이 됩니다.
나 : 어깨에 물이 찬거 보다 더 큰 문제가 있네요,,,
환자 : 많이 안좋은건가요?
나 : 초음파상에서 어깨 극상근이라는 힘줄 파열이 관찰되네요. 이게 제일 문제입니다
환자 : 많이 심한가요? 수술해야 하나요?
나 : 수술 여부는 MRI를 찍어야만 정확히 결정되는 거지만.... 초음파에서 이정도 파열인 경우 보통 수술 하는게 좋습니다.
환자 : 아....
나 : 미국에는 언제 들어가세요?
환자 : 내일 들어갑니다.
나 : 아..... 그럼.....우선 주사 치료를 좀 해드리겠습니다.
환자 : 네 우선 주사좀 놔주시고 제가 6개월~1년 간격으로 한국에 들어오는데 그때 다시 봐야할거 같네요.
나 : 네 그럼 팔을 최대한 아껴 쓰시고 웨이트 같은 근력운동은 하지 말고 지내세요.
환자 : 네 알겠습니다 ㅜㅜ
진료실에 있다보면 종종 해외에서 한국에 들어온김에 건강 검진이나 치과진료, 여기저기 아픈곳 진료받고 치료받는 분들을 많이 만나게 됩니다. 대부분 하시는 이야기들이 '의료는 대한민국이 최고다', '어디에 가도 한국 정도의 의료 서비스는 불가능하다'는 이야기를 많이 합니다.
의료 강국 대한민국 입니다. (한국만 잘 모르네요 ㅜㅜ)
당산 정형외과, 당산역 정형외과, 영등포 정형외과
