당산역 정형외과 박상준의원 공식 블로그

박상준원장/통증이야기 77

어깨 통증 참고 크로스핏 하다가 수술받은 남자 이야기 (당산정형외과 당산역정형외과 당산동정형외과 여의도정형외과 합정정형외과 목동정형외과 영등포정형외과 영등포구청정형외과 선..

박상준 의원 병원위치, 진료시간, 연락처 등등이 궁금하면 클릭하세요. ^^ (당산정형외과 당산역정형외과 당산동정형외과 여의도정형외과 합정정형외과 목동정형외과 영등포정형외과 영등포구청정형외과 선유도정형외과) 안녕하세요 당산역 정형외과 박상준의원에 박상준원장입니다. 오늘은 운동 중독으로 안타깝게 수술까지 받게된 남자 이야기를 좀 해볼까 합니다. 아마 여름을 맞이하여 운동중인 남자분들 많으실겁니다. 넓은 어깨와 가슴을 만들기 위해 팔굽혀펴기, 벤치 프레스, 숄더 프레스, 래터럴 레이즈 등등... 다양한 가슴-어깨 운동을 하고 계실텐데요.... 아마 이렇게 운동하는 분들 중에서도 어깨 통증을 느끼는 분들이 종종 있으실텐데요... 그냥 참고 운동을 하시다가 작은 문제가 큰 문제로 연결될수도 있습니다. 얼마전 건장..

골프치고 손가락 아프면? 방아쇠 수지 (당산정형외과 당산역정형외과 당산동정형외과 여의도정형외과 합정정형외과 목동정형외과 영등포정형외과 영등포구청정형외과 선유도정형외과)

박상준 의원 병원위치, 진료시간, 연락처 등등이 궁금하면 클릭하세요. ^^ (당산정형외과 당산역정형외과 당산동정형외과 여의도정형외과 합정정형외과 목동정형외과 영등포정형외과 영등포구청정형외과 선유도정형외과) 안녕하세요 당산역 정형외과 박상준 의원의 박상준원장입니다. 얼마전에 골프치고나서 손가락이 아파서 왔던 환자분 이야기를 올렸었습니다. [박상준원장/통증이야기] - 골프 치다가 손가락 골병든 이야기 그래서 오늘은 손가락이 딸각거리면서 통증을 동반하는 방아쇠 수지(trigger finger)에 대해 알아보겠습다. ()(당산정형외과 당산역정형외과 당산동정형외과 여의도정형외과 합정정형외과 목동정형외과 영등포정형외과 영등포구청정형외과 선유도정형외과) 손가락 힘줄의 구조 손가락을 굽혀주는 손가락굽힘근의 힘줄(ten..

골프 치다가 손가락 골병든 이야기 (방아쇠수지) (당산 당산역 당산동 여의도 합정 목동 영등포 영등포구청 선유도 양평동 국회의사당 정형외과 야간진료 도수치료 통증의학과 박상준의원)

박상준 의원 병원위치, 진료시간, 연락처 등등이 궁금하면 클릭하세요. ^^ (당산 당산역 당산동 여의도 합정 목동 영등포 영등포구청 선유도 양평동 국회의사당 정형외과 야간진료 도수치료 통증의학과 박상준의원) 안녕하세요 당산 정형외과 박상준의원 대표원장 박상준입니다. 오늘은 골프 치다가 손가락에 골병들뻔(?) 했던 여자분 이야기를 해볼까 합니다. 얼마전에 진료실에 여자 한분이 들어오셨습니다. 나 : 어디가 아파서 오셨어요? 여자 : 손가락이 아파요... 나 : 다치셨어요? 운동하시나요? 여자 : 다친적은 없구요... 운동은 골프를 치는데... 시작한지 3개월 정도 되었네요.... 골프 시작한지 3개월정도 되었다는 여자분. 아픈지는 3주 정도 된 상황이었습니다. 나 : 골프는 얼마나 치세요? 여자 : 매일 ..

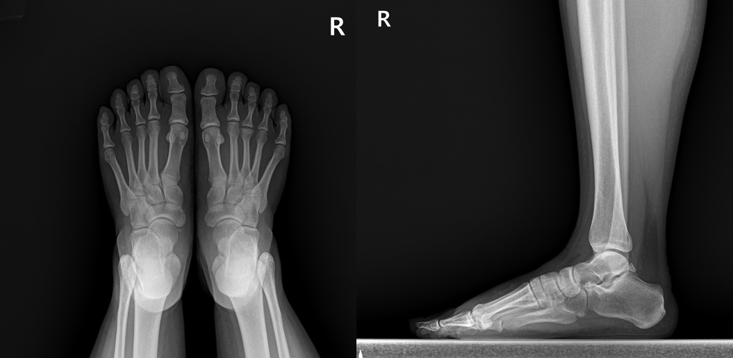
발등이 괜히(?) 아프다고 온 여자 이야기 (석회성 건염) (당산 당산역 당산동 여의도 합정 목동 영등포 영등포구청 선유도 양평동 국회의사당 정형외과 야간진료 도수치료 통증의학과 박상준..

박상준 의원 병원위치, 진료시간, 연락처 등등이 궁금하면 클릭하세요. ^^ (당산 정형외과 당산역 정형외과 당산동 정형외과 여의도 합정 목동 영등포 영등포구청 선유도 양평동 국회의사당 정형외과 야간진료 도수치료 통증의학과 박상준의원) 안녕하세요 당산 정형외과 박상준의원 대표원장 박상준입니다. 오늘은 발등이 괜히(?) 아프다고 온 여자 이야기를 해볼까 합니다. 얼마전에 젊은 여성분 한분이 진료실에 들어오셨습니다. 나 : 어디가 아파서 오셨어요? 여성 : 발이 아파요 ㅜㅜ 나 : 언제부터 아프셨어요? 다치셨어요? 여성 : 대략... 3주정도 되었어요. 다친적은 없구요. 나 : 병원에는 처음오셨나요? 여성 : 다른데 가서 x-ray 한번 찍고 물리치료 받았는데 계속 아프네요,, ㅜㅜ 몇주전부터 발등이 아프다는..

30년간 팔굽혀 펴기 하면서 어깨가 아프다고 찾아온 환자이야기 (팔굽혀펴기 어깨통증) (당산정형외과 당산역정형외과 당산동정형외과 여의도정형외과 합정정형외과 목동정형외과 영등포..

박상준 의원을 오픈합니다. 병원위치, 진료시간, 연락처 등등이 궁금하면 클릭하세요. ^^ (당산정형외과 당산역정형외과 당산동정형외과 여의도정형외과 합정정형외과 목동정형외과 영등포정형외과 영등포구청정형외과 선유도정형외과 도수치료 박상준의원) 박상준 원장입니다. 오늘은 어깨 통증으로 찾아온 환자 이야기를 해볼까 합니다. 얼마전 진료실에 중년의 남자분이 들어오셨습니다. 마르지도, 뚱뚱하지도 않은 늘씬한 체형의 남자분이었습니다. 우락부락하진 않았지만 옷빨이 남다른것이 한눈에 평상시 운동을 통해 자기 관리가 철저한 분이라는 느낌이 들었습니다. 나 : 어디가 불편하세요? 남자 : 왼쪽 어깨가 아파서 왔습니다. 나 : 왼쪽 어깨가 아프시다구요? 얼마나 되신거죠? 남자 : 그게..... 대략 4~5년은 된거 같습니다...

마라톤하고 무릎이 아프면? 장경인대 통증 증후군 (당산 당산역 당산동 여의도 합정 목동 영등포 영등포구청 선유도 양평동 국회의사당 정형외과 야간진료 도수치료 통증의학과 박상준의원)

당산 정형외과 박상준 의원 병원위치, 진료시간, 연락처 등등이 궁금하면 클릭하세요. ^^ 안녕하세요 당산 정형외과 박상준의원입니다. 오늘은 운동하다가 발생할 수 있는 무릎 바깥쪽 통증에 관해 이야기 해보겠습니다. 진료실에 있다보면 달리기나 자전거 타기, 등산 등등을 하다가 무릎 바깥쪽 통증이 발생하여 찾아 오시는 경우가 종종 있습니다. 이런 경우 생각해볼 수 있는 질환이 '방경인대 통증 증후군'입니다. 말이 좀 어려운가요? 좀 쉽게 설명 해드리겠습니다 ^^ 장경인대란? (목동 영등포 여의도 양평동 문래동 당산 당산역 선유도역 영등포구청역 정형외과 야간진료 도수치료 통증의학과 박상준의원) 자 그럼 장경인대가 무엇인지 부터 살펴보겠습니다. 다음 그림을 보시죠. 위의 그림에서 보듯이 골반에서 시작하여 허벅지~..

운동하다가 무릎 통증 생긴 여자 이야기 (당산 당산역 여의도 합정 목동 영등포 영등포구청 선유도 양평동 국회의사당 정형외과 야간진료 도수치료 통증의학과 박상준의원)

박상준 의원을 오픈합니다. 병원위치, 진료시간, 연락처 등등이 궁금하면 클릭하세요. ^^ (당산 당산역 여의도 합정 목동 영등포 영등포구청 선유도 양평동 국회의사당 정형외과 야간진료 도수치료 통증의학과 박상준의원) 안녕하세요 당산 정형외과 박상준의원입니다. 오늘은 운동하다가 무릎에 문제가 생긴 여자분 이야기를 좀 해볼까 합니다. 얼마전 진료실로 30대 중반의 여성분이 들어왔습니다. 3개월전부터 운동을 시작하였는데 1달 전 부터 무릎이 불편하기 시작한다는 겁니다. 나 : 운동을 얼마나 많이 하세요? 여성 : 예전에는 전혀 안하다가요.... 제가 조만간 결혼 예정이어서 살을 좀 빼려고 무리했어요..... 3개월전부터 하루에 2시간씩 거의 매일 하다시피 했어요... 나 : 다치거나 부딪힌 적은 없구요? 여성 ..

10년동안 종아리가 아팠다는 여자 이야기 (당산 당산역 여의도 합정 목동 영등포 영등포구청 선유도 양평동 국회의사당 정형외과 야간진료 도수치료 통증의학과 박상준의원)

박상준 의원 병원위치, 진료시간, 연락처 등등이 궁금하면 클릭하세요. ^^ (당산 당산역 여의도 합정 목동 영등포 영등포구청 선유도 양평동 국회의사당 정형외과 야간진료 도수치료 통증의학과 박상준의원) 안녕하세요 당산 박상준 의원의 박상준 원장입니다. 오늘은 종아리 통증으로 오래 고생했던 환자 이야기를 해볼까 합니다. 며칠전 젊은 트레이너 여성분이 병원에 찾아왔습니다. 나 : 어디가 불편해서 오셨어요? 여성 : 종아리가 아파요 ㅜㅜ 나 : 아픈지 얼마나 되었나요? 여성 : 음.... 그러니까...... 10년은 된거 같네요... 나 : 네? ^^;;;; 트레이너라는 직업특성상 운동을 많이 하는 이 여성, 운동을 많이 하니 종아리가 피곤하고 아플 수 있겠죠ㅕ... 그런데 아픈게 10년이 넘었다고 합니다. 나..

어깨가 이상하게 아프다고 온 환자 이야기 (어깨 물혹) (당산정형외과 당산역정형외과 당산동정형외과 여의도정형외과 합정정형외과 목동정형외과 영등포정형외과 영등포구청정형외과 선..

박상준 의원 병원위치, 진료시간, 연락처 등등이 궁금하면 클릭하세요. ^^ (당산정형외과 당산역정형외과 당산동정형외과 여의도정형외과 합정정형외과 목동정형외과 영등포정형외과 영등포구청정형외과 선유도정형외과 도수치료 박상준의원)당산 박상준의원, 박상준원장입니다. 오늘은 얼마전 어깨가 아프다고 찾아온 환자 이야기를 해볼까 합니다. 며칠전 한 환자분이 오셨습니다. 나 : 어디가 불편하세요? 환자 : 왼쪽 어깨 부분이 아파요.... 나 : 불편한지 얼마나 되셨나요? 환자 : 몇개월 되었네요... 나 : 병원에는 처음 오신거에요? 환자 : 얼마전 다른 병원에서 X-ray 찍고 괜찮다고 해서 물리치료를 몇개월 받았어요. 그런데 계속 아프네요... 나 : 다친적은 없어요? 운동은요? 환자 : 다친적은 없구요... 운동..

어깨 힘줄(회전근개) 파열에도 수술할 수 없다는 환자 (당산 당산역 여의도 합정 목동 영등포 영등포구청 선유도 양평동 국회의사당 정형외과 야간진료 도수치료 통증의학과 박상준의원)

박상준 의원 병원위치, 진료시간, 연락처 등등이 궁금하면 클릭하세요. ^^ (당산 당산역 여의도 합정 목동 영등포 영등포구청 선유도 양평동 국회의사당 정형외과 야간진료 도수치료 통증의학과 박상준의원 당산역 박상준의원 박상준 원장입니다. 오늘은 좀 씁쓸했던 환자 이야기를 해볼까 합니다. 수개월 전 남자분이오셨습니다. 목도 뻐근하고 어깨도 아프다는게 주증상이었습니다. 대략 2년전부터 증상이 생겼는데 병원오기 1~2주전부터 증상이 아주 심하졌다는 겁니다. 진찰을 해보니 목~어깨 주위 근육도 많이 뭉쳐있고 우측 어깨는 움직임시 통증도 심하고 가동범위도 아주 많이 줄어들어 있었습니다. 회전근개와 주변 근육 힘줄에 탈이난게 확실한거 같아서 검사를 좀 하자고 하니.... 환자분이 거절을 하십니다. 나 : 어깨 관절을..