당산역 정형외과 박상준의원 공식 블로그

박상준원장/통증이야기

골프 치다가 손가락 골병든 이야기 (방아쇠수지) (당산 당산역 당산동 여의도 합정 목동 영등포 영등포구청 선유도 양평동 국회의사당 정형외과 야간진료 도수치료 통증의학과 박상준의원)

몸짱이었던 박원장 2019. 6. 4. 09:32

(당산 당산역 당산동 여의도 합정 목동 영등포 영등포구청 선유도 양평동 국회의사당 정형외과 야간진료 도수치료 통증의학과 박상준의원)

안녕하세요 당산 정형외과 박상준의원 대표원장 박상준입니다. 오늘은 골프 치다가 손가락에 골병들뻔(?) 했던 여자분 이야기를 해볼까 합니다.

 

얼마전에 진료실에 여자 한분이 들어오셨습니다.

 

나 : 어디가 아파서 오셨어요?
여자 : 손가락이 아파요...

 

나 : 다치셨어요? 운동하시나요?
여자 : 다친적은 없구요... 운동은 골프를 치는데... 시작한지 3개월 정도 되었네요....

 

골프 시작한지 3개월정도 되었다는 여자분. 아픈지는 3주 정도 된 상황이었습니다.

 

나 : 골프는 얼마나 치세요?
여자 : 매일 2시간 정도 쳐요...
나 : 선수세요?
여자 : 아뇨.... 취미로 치는건데 너무 재미있어서 좀 무리했네요....

 

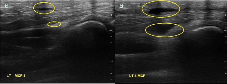
손을 보니 4번째 손가락과 손등뼈 마디 부위 (4th MCP joint) 붓기와 통증이 있었습니다.

 

나 : 골프치시면서 무리해서 손가락 굽힘 힘줄에 염증이 생긴거 같네요... X-ray 찍고 초음파 검사 좀 할께요.
여자 : 네....

X-ray 검사상에는 특별한건 보이지 않습니다. 초음파 검사에서는.... 4번째 손가락을 굽혀주는 힘줄(4th flexor digitorum tendon)에 염증이 생겨있습니다.

(당산 당산역 당산동 여의도 합정 목동 영등포 영등포구청 선유도 양평동 국회의사당 정형외과 야간진료 도수치료 통증의학과 박상준의원)

나 : 골프를 많이 치셔서 손가락 힘줄에 염증이 생겼네요
여자 : 아 네....
나: 현재는 아주 심한건 아니니까 운동 좀 쉬시고 약먹고 물리치료하고 경과를 좀 보죠
여자 : 운동을 쉬어야 하나요?
나 : 네 그럼요...

 


 

2주일 후............................

 

그 분이 다시 병원에 오셨습니다.

 

나 : 아 잘 지내셨어요? 손은 좀 어떠세요?
여자 : 잘 못지냈어요... ㅜㅜ 손이 너무 아파요...
나 : 그래요? 한번 볼께요...

 

2주 후 손이 더 아프다는 여자분.... 육안으로 보기에도 더 많이 부어있었습니다.

 

나 : 더 심해진거 같은데요? 무슨일 있으셨어요?
여자 : 일이랄껀 없구요...
나 : 골프 계속 치셨어요?
여자 : 네.... 저번에 초음파 보시고 많이 심한건 아니라고 하셔서.... 괜찮을거 같아서요.....
나 : ^^;;;; ....... X-ray는 다시 찍을 필요는 없을거 같구요... 초음파 검사만 다시 할께요

 

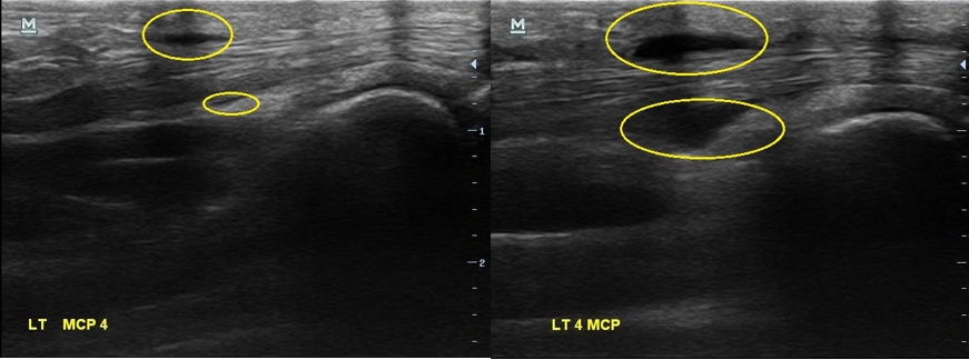
골프에 너무 빠져서 아파도 참고 치셨다는 분... 초음파 검사를 다시 해보니...

 

2주 전보다 힘줄에 염증이 훨씬 심해져 있었습니다. 그리고

이번에는 한 부위만이 아니라 손가락 굽힘 힘줄을 따라 전체적으로 염증이 퍼져있습니다.

2주만에 비포 & 애프터

 

나 : 2주만에 염증이 엄청나게 심해졌네요... 보이시죠?
여자 : 네.... 어쩐지 너무 아프더라구요...
나 : 이젠 진짜 심해졌으니 쉬셔야 되요. 아니면... 힘줄이 굳어서 사용할때마다 걸리거나 더 심하면 구축이 생길수도 있어요
여자 : 그래야겠죠? 장비 풀세트로 새로 샀고 회원권도 6개월 끊었는데..... ㅜㅜ
나 : 그 장비 오래쓰시려면 더 늦기전에 우선 쉬세요
여자 : 네...

 

간혹 너무 사실대로만 말해드리면 대수롭지 않게 생각하는 경우가 있습니다. 이런 일을 겪으면 환자분들에게 더 겁을 주어야하나...? 하는 고민이 들곤 합니다....

(당산 당산역 당산동 여의도 합정 목동 영등포 영등포구청 선유도 양평동 국회의사당 정형외과 야간진료 도수치료 통증의학과 박상준의원)