(당산정형외과 당산역정형외과 당산동정형외과 여의도정형외과 합정정형외과 목동정형외과 영등포정형외과 영등포구청정형외과 선유도정형외과)
안녕하세요 당산역 정형외과 박상준의원에 박상준원장입니다. 오늘은 운동 중독으로 안타깝게 수술까지 받게된 남자 이야기를 좀 해볼까 합니다.
아마 여름을 맞이하여 운동중인 남자분들 많으실겁니다. 넓은 어깨와 가슴을 만들기 위해 팔굽혀펴기, 벤치 프레스, 숄더 프레스, 래터럴 레이즈 등등... 다양한 가슴-어깨 운동을 하고 계실텐데요.... 아마 이렇게 운동하는 분들 중에서도 어깨 통증을 느끼는 분들이 종종 있으실텐데요... 그냥 참고 운동을 하시다가 작은 문제가 큰 문제로 연결될수도 있습니다.
얼마전 건장한 중년의 남자분이 진료실로 들어오셨습니다. 한눈에 보아도 꽤 오랜시간 운동을 하신 분이란걸 알 수 있었습니다.
나 : 안녕하세요~ 어디가 아파서 오셨어요?
남자 : 어깨가 아픕니다.
나 : 운동을 좋아하시나봐요? 어떤 운동하세요?
남자 : 네 운동을 좋아하고 한지 꽤 오래 되었습니다... 주로 웨이트 트레이닝을 많이 해왔는데요... 최근 2년 정도는 크로스핏을 하고 있습니다.
나 : 어쩐지 그냥 보기에도 몸이 탄탄하시네요~
남자 : 아 네... 원장님도 운동 많이 하신다고 해서 운동에 대해 잘 아시는 선생님이라고 듣고 찾아왔습니다.
나 : 아 전 옛날 이야기입니다... ㅎㅎㅎ
한눈에봐도 운동광으로 보이는 남자분, 어깨 통증이 가장 큰 문제였습니다.
나 : 어깨가 아프세요? 잘때는 어떠세요?
남자 : 잘때 아픈 어깨를 깔고 누우면 아픕니다.
나 : 요즘 운동은 어떻게 하고 계세요?
남자 : 아프지만 무게를 낮춰서 계속 하고 있습니다.
나 : 아 그러세요.... 우선 검사부터 좀 하겠습니다.
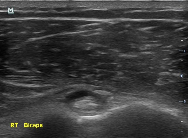
통증이 있지만 운동을 멈추지 않았다는 남자분.... 결과는 생각보다 나빴습니다. 초음파 검사상에서 이두박근의 장두에 염증이 보였고 극상근 힘줄에는 부분파열 소견이 보이고 있었습니다.


나 : 음..... 상태가 좀 안좋은데요?
남자 : 아....... 그래요?
나 : 네... 이두박근 힘줄에는 염증이 있구요, 더 큰 문제는 극상근 힘줄에 부분 파열이 보인다는 겁니다. 현 상태만 놓고 보아서는 아직 수술까지 할 단계는 아니신데 앞으로 관리가 잘못되면 수술이 필요하실수도 있어요
남자 : ... 심각한 표정...
나 : 우선 운동을 쉬셔야 할거 같은데요.....
남자 : .....실망한 표정...
나 : 쉬실수 있을까요?
남자 : 글쎄요....... 실망스럽네요......... 쉴수 있을지 잘 모르겠습니다...
나 : 우선 약물치료 물리치료 하면서 통증이 좀 가라 앉으면 운동치료로 넘어가야 할거 같습니다. 크로스핏이나 웨이트는 당분간 전부 멈추서야 할거 같네요....
남자 : .......
뭔가 해결책을 들으러 오셨던 분이었는데... 무조건 쉬라고만 하니 상당히 실망하신 기색이 역력했습니다. 그런데 검사 소견에서는 그것밖에는 할 수 있는 말이 없었습니다...
3개월 후.... 그 남자분이 다시 병원에 방문하셨습니다.
나 : 잘 지내셨어요? 어깨 통증은 좀 어떠세요?
남자 : ... 더 아파졌습니다. ㅜㅜ
나 : 그래요? 무슨일 있으셨나요?
남자 : 네..... 얼마전 운동하다가 뜨끔하는 느낌이 났는데... 그때부터 통증이 갑자기 심해졌습니다..
나 : .... 안쉬고 운동 계속 하신거에요??
남자 : 네....
나 : 초음파 검사 좀 다시 할께요.
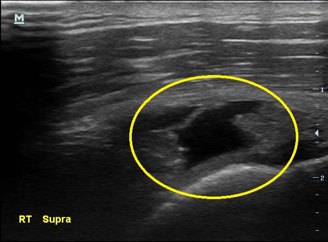
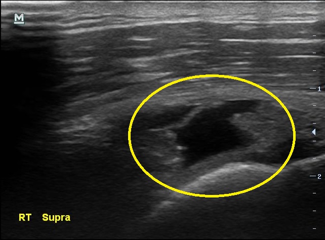
3개월만에 통증이 더 심해졌다고 찾아온 남자분, 검사 결과는 3개월전보다 더 악화 되었습니다.
(당산 당산역 당산동 여의도 합정 목동 영등포 영등포구청 선유도 양평동 국회의사당 정형외과 야간진료 도수치료 통증의학과 박상준의원)


초음파 검사 결과 3개월전에 비해 극상근 힘줄의 파열 정도가 더 심해져있습니다.
나 : 초음파 검사 결과가 더 나빠졌는데요...
남자 : 많이 안좋아졌나요?
나 : 네......
남자 : .....
나 : 초음파에서 이정도 소견이면..... MRI 촬영하고 필요하면 수술도 고려해보아야 할 정도네요
남자 : 수술받아야 하나요?
나 : 그건 MRI 까지 촬영하고 결정해야 할 부분일거 같습니다.
남자 : ....
나 : 의뢰서를 써드릴께요
어깨 힘줄 부분 파열임에도 운동을 쉬자 않았던 이 남자분은 결국 수술을 받게 되었고 현재 재활 치료와 물리치료를 병행하여 진행중에 있습니다.
통증이 있다고 무조건 운동을 쉬어야 하는건 아니지만 상황에 따라서는 운동을 쉬어야만 하는 때가 있습니다. 이것을 지키지못하면 독이 되어 돌아올 수 있습니다.
요즘 게임 중독을 질병으로 인정하느냐 마느냐로 갑론을박이 이어지고 있는데요.... 사실 운동 중독도 다른 중독 못지않게 해로울 수 있다는 것을 알아야 할거 같습니다.

(당산정형외과 당산역정형외과 당산동정형외과 여의도정형외과 합정정형외과 목동정형외과 영등포정형외과 영등포구청정형외과 선유도정형외과)