(당산 당산역 당산동 여의도 합정 목동 영등포 영등포구청 선유도 양평동 국회의사당 정형외과 야간진료 도수치료 통증의학과 박상준의원)
안녕하세요 당산 정형외과 박상준의원 박상준원장입니다. 오늘은 얼마전에 무릎이 아프다고 온 환자 이야기를 해볼까 합니다.
얼마전 중년의 환자분이 진료실로 들어오셨습니다.
나 : 안녕하세요 , 어디가 불편하세요?
환자 : 무릎이 불편합니다.
다리가 불편한지 약간 절뚝이던 남자분... 문제는 무릎이었습니다.
나 : 아픈지 얼마나 되셨나요? 다치거나 무리한게 있으세요? 다리를 많이 쓰는 일을 하시나요?
환자 : 불편한지가..... 3개월정도 되었구요... 다치거나 특별한 일은 없었습니다. 특별한 운동도 하지 않았구요.... 사무직일을 하고 있습니다.
무릎이 불편한지 수개월이 지났다는 남자분.... 환자 이야기만 들어서는 아픈 이유를 짐작하기 어려운듯 했습니다.
나 : 병원에는 처음 오신 건가요? 진료받고 치료받은적은 없으신가요?
환자 : 얼마전에 다른병원에 한번 갔었습니다.
나 : 뭐라고 하던가요?
환자 : x-ray 찍었는데 퇴행성 관절염 초기라고 하더라구요...
나 : 그래서 어떻게 치료받으셨나요?
환자 : 연골주사를 맞아보자고 해서 맞았죠
나 : 효과가 있으셨나요?
환자 : 효과가 있었으면 여기에 안왔겠죠??
나 : 아 네... ^^;;;;
(당산 당산역 당산동 여의도 합정 목동 영등포 영등포구청 선유도 양평동 국회의사당 정형외과 야간진료 도수치료 통증의학과 박상준의원)
퇴행성 관절염 초기로 진단을 받고 연골 주사를 맞았다는 남자분... 큰 효과를 보지 못해서 방문하게 되었습니다.
나 : 네 알겠습니다. 우선 검사부터 하겠습니다. 기존 검사 가져오신거 있나요?
환자 : 아니요. 그냥 여기서 다시 검사 할께요
나 : 네 그럼 기본적으로 x-ray 촬영을 하고 초음파 검사도 같이 좀 해볼께요.
우선 가장 기본적은 X-ray 촬영을 했습니다. X-ray상에서는 퇴행성 초기 소견을 보이기는 하지만 큰문제는 없어 보였습니다.

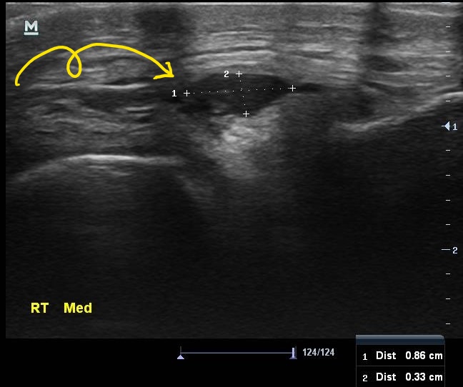
이 환자분의 진짜 문제는 초음파 검사에서 발견되었습니다.
나 : 연골주사 맞아도 아픈 이유가 있었네요
환자 : 이유가 뭔가요?
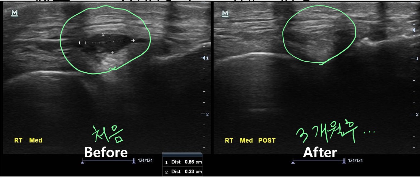
나 : 내측반월판 연골 부위에 물혹이 하나 생겨있습니다.
환자 : 물혹이요?

나 : 네 결절종이라고 하는 건데요... 무릎을 굽히실때 이게 주변 조직을 누르면서 통증이 발생한듯 합니다.
환자 : 그럼 어떻게 해야 하나요?
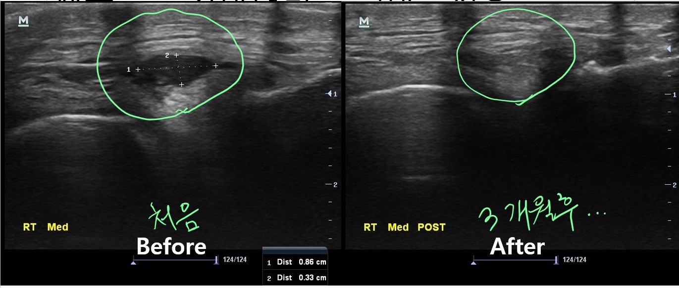
나 : 초음파 보면서 주사기로 물혹속 내용물을 제거해봐야 할거 같습니다.

환자 : 이제 해결이 된건가요??
나 : 아마 당장 불편한건 해결되실겁니다. 문제는....
환자 : 문제는요?
나 : 이게 워낙 재발을 잘한다는게 문제입니다. 그건 우선 지켜봐야 할듯 하네요.
치료 후 3개월이 지난 현재, 이 환자분은 다행히 물혹이 재발되지 않아 큰 불편함없이 잘 지내고 있습니다. 아직 더 지켜보긴 해야 하지만요...

이런 환자를 만나면 초음파 검사의 필요성과 중요성을 다시 한번 깨닫게 됩니다.
(당산 당산역 당산동 여의도 합정 목동 영등포 영등포구청 선유도 양평동 국회의사당 정형외과 야간진료 도수치료 통증의학과 박상준의원)
