당산정형외과 당산역정형외과 당산동정형외과 여의도정형외과 합정정형외과 목동정형외과 영등포정형외과 영등포구청정형외과 선유도정형외과 도수치료 박상준의원)
안녕하세요 박상준원장입니다. 오늘은 얼마전에 어깨 통증으로 방문한 환자 이야기를 해볼까 합니다.
나 : 어디가 불편해서 오셨어요?
환자 : 어깨가 아픕니다.
나 : 아픈지 얼마나 되셨나요?
환자 : 그게.... 대략 3년정도 되었네요
꽤 오랜시간 어깨가 아팠다는 환자분....
나 : 아프신지가 꽤 오래되었네요? 병원은 처음 오신 거에요?
환자 : 네 아프지는 오래되었는데 ... 병원은 처음이네요... 제가 아픈걸 잘 참아서요...
아픈걸 잘 참아왔다는 환자분..... 그런데
나 : 병원 방문을 결심하신 이유가 있나요?
환자 : 그동안은 그럭저럭 지냈는데.... 몇주전부터 갑자기 통증이 심해졌어요
나 : 무슨일이 있으셨어요?
환자 : 최근에 동남아로 골프 여행을가서 일주일간 주구장창 골프를 치고 났더니 통증이 갑자기 심해졌네요...
나 : 골프를 좋아하시나봐요?
환자 : 중독 수준이죠.... 아프면 진통제 먹어가면서 치거든요...
나 : 아 네... ^^;;;;
골프를 좋아한다는 환자분... 최근에 골프를 무리하면서 어깨 통증이 심해졌다고 합니다.
이학적 검사를 해보니 능동적 ROM시 외전 동작에서 제한이 있고 상완-견갑 관절의 외전 및 내회전시 통증이 꽤 심하게 있었습니다.
나 : 어깨 회전근개에 문제가 있을거 같습니다. X-ray 촬영 및 초음파 검사를 좀 할께요.
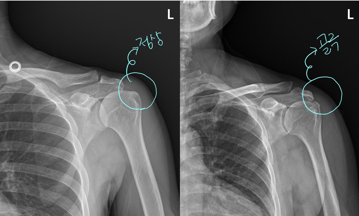
우선 x-ray를 좀 살펴보면..... 이것만 봐도 어깨 상태가 심상치 않음을 느낍니다. 일반적으로 정상적인 X-ray는 위팔뼈의 라인이 둥글둥글하게 부드럽게 넘어가야 하는데 이 환자분의 위팔뼈 부분은 울퉁불퉁하고 뾰족뾰족한 부분이 보입니다.
(당산 당산역 당산동 여의도 합정 목동 영등포 영등포구청 선유도 양평동 국회의사당 정형외과 야간진료 도수치료 통증의학과 박상준의원)

이걸 '골극'이라고 하는데요... 뼈의 특정 부위에 염증이 반복되거나 그 부위에 뭔가 자극이 되면 뼈가 자라는 것을 말합니다.
아프고 불편한지가 수년이 되었는데 x-ray 상에서 이렇게 골극이 보인다는 것은 뭔가 문제가 상당히 있을것을 추측할 수 있습니다.
그리고 슬픈 예감을 틀리지 않았습니다.
초음파 검사상에서 회전근개 중 하나인 극상근의 파열 정도가 생각보다 심해 보였습니다.
나 : 상태가 별로 안좋네요
환자 : 어떤가요?
나 : 어깨 힘줄 하나가 상당히 많이 그리고 넓게 파열되어 있습니다.
환자 : ㅜㅜ

나 : 초음파 검사상 이정도면 MRI 촬영하고 수술도 고려해봐야 할 상태인데요..
환자 : 수술 꼭 해야 하나요?
나 : 수술 필요 여부 결정은 MRI를 촬영 하고 결정해야 해서 이것만 가지고 확답은 힘든데요...
환자 : .....
나 : 일반적으로 초음파에서 이정도 파열 소견을 보이면 수술이 필요한 경우가 많습니다
환자 : 그럼 골프는.....
나 : 네? 골프요? ^^;;;;;;;;
환자 : ..... 그렇죠? 지금 골프는 좀 그렇죠?
나 : 당연하죠.....ㅡㅡ;;;
환자 : MRI 촬영과 수술은 당장 할 상황이 안될거 같은데요..
나 : 그러면 우선 주사와 먹는약 물리치료로 경과를 보겠습니다.
중독 중 제일 좋은 중독(?)이 운동 중독이라고 말하곤 하는데요... 이런분들을 보면 꼭 그렇진 않다는 생각이 듭니다.
(당산정형외과 당산역정형외과 당산동정형외과 여의도정형외과 합정정형외과 목동정형외과 영등포정형외과 영등포구청정형외과 선유도정형외과 도수치료 박상준의원)
