(당산 정형외과 당산역 정형외과 당산동 정형외과 여의도 합정 목동 영등포 영등포구청 선유도 양평동 국회의사당 정형외과 야간진료 도수치료 통증의학과 박상준의원)
안녕하세요 당산 정형외과 박상준의원 대표원장 박상준입니다. 오늘은 발등이 괜히(?) 아프다고 온 여자 이야기를 해볼까 합니다. 얼마전에 젊은 여성분 한분이 진료실에 들어오셨습니다.
나 : 어디가 아파서 오셨어요?
여성 : 발이 아파요 ㅜㅜ
나 : 언제부터 아프셨어요? 다치셨어요?
여성 : 대략... 3주정도 되었어요. 다친적은 없구요.
나 : 병원에는 처음오셨나요?
여성 : 다른데 가서 x-ray 한번 찍고 물리치료 받았는데 계속 아프네요,, ㅜㅜ
몇주전부터 발등이 아프다는 여성분.... 이 여성분 얘기로는 아플 이유가 없어 보입니다.
나 : 운동하세요? 오래 서있어요? 작은 신발을 신지는 않았나요?
여성 : 아뇨... 아무것도 해당되는게 없는데요....
나 : 그래요? 발 좀 봅시다...
아플 이유가 없는데 발이 아프다는 여성분... 발을 직접보니 발등이 부어있습니다. 통증은 3번째 중족골과 발가락 뼈 사이부분에서
나 : 여기가 아프신거죠?
여성 : 네 거기를 누르면 많이 아파요...
나 : 검사를 좀 해볼께요...
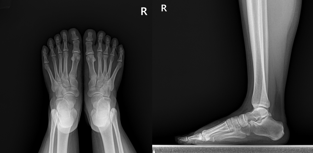
X-ray를 촬영했는데...

검사상에서는 특별한건 없습니다. 이유없이 발이 아프다는 분들의 경우 평발이나 요족인 경우가 종종 있는데 이 여성분의 발은 평발도 요족도 아닌 상태로 보였습니다. 그래서 초음파 검사를 했습니다. 그 결과는...
(당산 정형외과 당산역 정형외과 당산동 정형외과 여의도 합정 목동 영등포 영등포구청 선유도 양평동 국회의사당 정형외과 야간진료 도수치료 통증의학과 박상준의원)
나 : X-ray는 괜찮은데요... 초음파에서 문제가 보이네요.
여성 : 네? 뭔데요?
나 : 예전에 이 부위를 다친적 있나요?
여성 : 아니요 전혀 없는데요....
나 : 초음파에서 여기 하얗게 보이는거 있죠?
여성 : 네 보이네요...
나 : 이건 둘 중 하나인데요.... 첫번째는 금이 갔던 흔적인데.... 다친적은 없다고 하셨으니... 제 생각엔 석회 조각인거 같네요
여성 : 석회요?
나 : 네 석회성 건염이라고 해서 관절이나 힘줄 부위에 석회 조각이 생기고 이게 갑자기 염증을 만드는 경우가 가끔 있습니다.

이 여성의 병명은 '석회성 건염'이었습니다. 석회성 건염이라는 것은 우리 몸 관절부위에 석회가 쌓이면서 덩어리를 만들고 이게 염증을 만들어서 통증이 발생하는 병을 말합니다.
나 : 석회성 건염이네요.
여성 : 그게 왜 생기는 건가요?
나 : 석회 조각이 왜 생기는지는 의사들도 아직 잘 모릅니다. 이건 그냥 체질적인 부분이라고 이해하시면 될거 같습니다. 그리고 석회조각이 생겼다고 다 아픈건 아닙니다. 염증이 생기면 아프고 염증이 생기지않으면 평생 아프지 않을수도 있습니다.
여성 : 치료는 어떻게 하죠?
나 : 우선 주사나 약물, 물리치료료 염증을 가라 앉히고 석회조각은 체외충격파 치료를 해야 할거 같습니다...
이유없는 통증은 없습니다. 그 이유를 찾지 못했을 뿐입니다 ^^

(당산 정형외과 당산역 정형외과 당산동 정형외과 여의도 합정 목동 영등포 영등포구청 선유도 양평동 국회의사당 정형외과 야간진료 도수치료 통증의학과 박상준의원)