안녕하세요 박상준 원장입니다. 오늘은 석회성 건염에 관한 이야기를 해볼까 합니다. 진료실에 있다보면 갑작스런 관절 통증으로 찾아오시는 분들이 많습니다. 갑작스런 관절 통증을 일으키는 질병은 여러가지가 있겠지만... 그중 대표적인 질병이 바로 '석회성 건염' 또는 '석회화 건염'이라는 질병입니다.
당산 정형외과, 당산역 정형외과, 영등포 정형외과
석회성 건염은 어떤 질병인가요?
네이버 지식 백과에 따르면 ' 석회성건염은 칼슘 퇴적물이 힘줄에 침윤된, 자기 국한성의 통증을 동반하는 질병이다. 석회성건염은 우리 몸의 어느 힘줄에도 나타날 수 있지만, 대부분 어깨 관절의 극상건에서 발생하여 염증 및 통증을 야기하게 된다. [네이버 지식백과] 석회성건염 [Calcific tendinitis] (서울대학교병원 의학정보, 서울대학교병원) 라고 되어있습니다. 좀 쉽게 말해볼까요? 우리 몸에는 수많은 '힘줄(tendon)=건'이 있는데 여기에 느닷없이 칼슘이 침착이 되면서 석회(calcification)가 만들어지고 염증이 생겨 통증을 만드는 질환입니다. 그런데 이게 제일 흔하게 생기는 관절이 바로바로 '어깨'입니다.
당산 정형외과, 당산역 정형외과, 영등포 정형외과
석회성 건염은 왜 생길까?
정답은 '모른다'입니다. 힘줄의 퇴행성 변화, 혈액 순환의 감소등을 원인으로 말하기도 하지만 팔을 거의 쓰지 않아 퇴행성이 없는 30대 여성에게도 생길 수 있고 혈액 순환에 문제가 없는 사람들에게도 자주 생기기 때문에 이게 원인이라 보기는 좀 힘들지 않을까 합니다.
저는 진료실에서 석회성 건염이 생기는 원인은 '체질'이라고 이야기 합니다. 내가 뭘 잘못해서, 나쁜걸 먹어서 생기는게 아니라 그냥 내 체질이 석회가 잘 생기는 체질이기 때문이라는 거죠. 사실 의사가 '체질'이라는 표현을 사용하는 경우는 드문데 이 석회성 건염읜 원인야 말로 '체질'이라 말해야 하지 않을까 합니다.
당산 정형외과, 당산역 정형외과, 영등포 정형외과
석회성 건염 증상은?
석회성 건염의 증상은 매우 다양한데요. 염증이 생기지 않는 경우에는 통증이 전혀 동반되지 않아서 무증상인 경우도 있고, 석회가 침착이 되면서 동시에 염증 반응이 심하게 생겨서 극심한 통증으로 병원에 방문하는 경우도 종종 있습니다. 어떤분들은 거의 울면서 오시는 경우도 종종 있습니다.
당산 정형외과, 당산역 정형외과, 영등포 정형외과
석회성 건염 치료는? 완치가 가능한가요?
사실 제일 중요한? 궁금한? 부분은 바로 치료법이겠죠. 내 몸에 석회가 생겨있다는데... 이걸 그냥 두면 안될 거 같잖아요? 그래서 결국 어떻게 치료 할지, 그리고 이걸 가능한 완전히 제거할 수 있는지가 제일 궁금할텐데요...
정답은 치료가 가능하다, 제거를 통해 완치가 가능하다 입니다. (100%는 아닙니다...)
대표적인 치료법이 바로 '체외 충격파'치료입니다. 체외 충격파는 '체외 = 몸 밖에서' '충격파 = 충격을 줘서 치료 한다' 는 개념입니다. 석회가 있는 부위에 피부겉에서 충격을 줘서 힘줄에 있는 석회를 깨트려서 제거한다는 개념이죠. 문제는 이 치료만으로 석회가 제거 될 활률이 50% 정도 될까?말까? 라는 거죠.
이유는 피부 겉에서 충격을 주기 때문에 충격을 주는 부위가 석회가 있는 부위가 아닐수도 있기 때문입니다. 엉뚱한 부위를 충격을 줘서는 피부 안쪽 깊숙히 존재한 힘줄의 석회를 정확히 타격하기 어렵다는 거죠. 스나이퍼같이 정밀 조준 사격을 해도 석회가 없어질까 말까인데 산탄총 같이 여기저기를 충격을 주어서는 석회를 효과적으로 없애기 어렵다는 겁니다.
그래서 이보다 저 효과적으로 석회를 없앨 수 있는 방법이 있는데요... 그게 바로 '석회흡입술' 입니다. 석회 흡입술은 석회가 있는 부위에 석회를 녹이는 용액을 주입하고 다시 흡입하는 것을 반복하여 석회를 가루로 만들어 석회를 제거하는 시술입니다.
치료 순서는 (1) 초음파로 석회가 있는 곳에 주사 바늘을 위치 (2) 용액을 주입 후 흡입, 주입 후 흡입.........을 반복 (3) 석회를 몸 밖으로 빼내주기... 이렇게 진행되는 시술이니 '가루가 되어 나온만큼 석회가 확실히 제거'되는 효과를 기대할 수 있습니다.
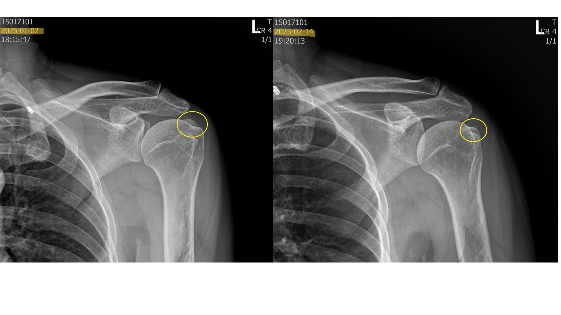
석회 흡입술 + 체외충격파 시술을 통해 석회가 얼마나 제거될까요?


위의 사진은 실제로 내원하여 치료받은 환자들의 x-ray 입니다. 이 환자분들은 약 5회에 걸쳐 섭회흡입술 + 체외충격파시술을 받은 분들입니다. 보시다시피 드라마틱하게 석회가 제거된걸 볼 수 있습니다.
혹시 석회성 건염으로 고생하시거나 진단받은 분이 있다면 섭회흡입술 + 체외충격파 시술을 함께 고려해보시길 바랍니다.
