안녕하세요 박상준원장입니다. 아주 오랫만에 블로그에 글을 올리네요... 오늘은 크로스핏 하다가 어깨가 아파서 온 환자 이야기를 좀 해볼까 합니다.
나 : 어디가 아프세요?
환자 : 우측 어깨가 아픕니다
나 : 언제 무슨일이 있으셨어요?
환자 : 제가 웨이트 트레이닝을 시작했는데.... 벤치 프레스랑 턱걸이 하면서 통증이 생겼습니다
웨이트 트레이닝을 하면서 어깨가 아파졌다는 환자, 우선 x-ray를 찍었습니다. 사진을 보니 우측 상완골 대결절 부위에 골극이 보입니다. 골극(bone spur)은 쉬운말로 '뼈가 자라있다'라고 말하곤 하는데요... 뼈의 특정 부위에 오랫동안 염증이 반복되는 등의 자극이 반복되면 관찰되는 소견입니다.

나 : 어깨가 아프신게 처음이에요? 이전에도 약간씩 불편감이 있을셨을거 같은데요...
환자 : 맞아요. 많이 아픈건 최근부터인데요... 그전에도 약간씩 불편했습니다.
나 : x-ray에서 문제가 좀 보이는데요... 이건 오랫동안 어깨에 염증이 반복되었을때 나타나는 소견이거든요... 초음파 검사좀 해보겠습니다.
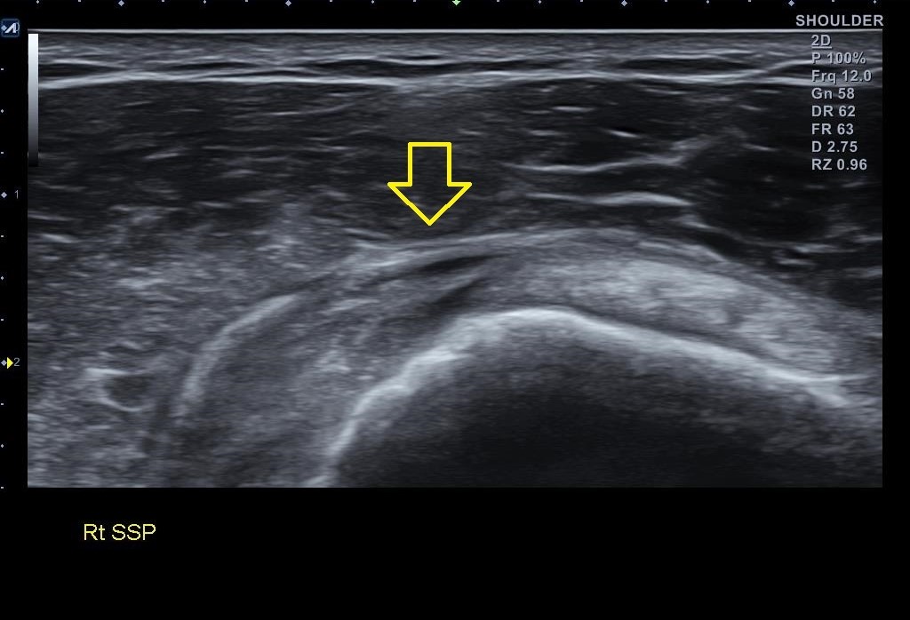
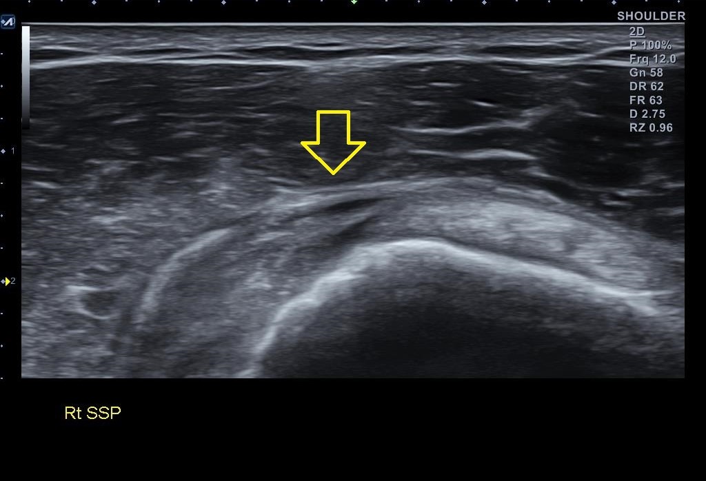
골극이 보이는 상완골 대결절 부위는 극상근 힘줄의 부착부위입니다. x-ray상에 이상 소견이 보인다는건 극상근 힘줄에도 문제가 있을 가능성이 높다는 이야기죠. 힘줄 상태를 확인하기 위해 초음파 검사를 진행했습니다. 결과는...


나 : 초음파 검사 결과를 보니까.... 회전근개 중 극상근이라는 힘줄 파열이네요.
환자 : 단순 염증 정도가 아닌가요?
나 : 네 단순 염증 정도 아니구요... 힘줄 파열입니다.
환자 : 어떻게 해야 하나요? 수술해야 하나요?
나 : 초음파 검사상 파열 범위와 길이가 아주 심하진 않아서 우선 보존적 치료를 좀 해보고 4주 간격으로 초음파 검사를 몇번 해보면서 지켜봐야 할거 같네요. 지금보다 심해지면 MRI 촬영이 필요할 수 있습니다.
환자 : 그럼 운동은 어떻게 해야할까요?
나 : 극상근에 무리를 주는 동작은 피해야 합니다. 턱걸이, 팔굽혀펴기, 역도 동작, 모든 종류의 프레스 동작은 피하셔야 하구요... 하체 복근 운동 위주로만 진행해주세요
환자 : ㅜㅜ
이분의 경우 잔잔한 통증은 오래 되었을 겁니다. 아마 그동안 염증이 반복되면서 골극이 생기고 힘줄이 약해진 상황에서 크로스핏처럼 한번에 힘을 쓰면서 팔을 높게 들어올리는 동작을 하면서 견봉하 공간에서 극상근에 커다란 마찰력이 가해지면서 힘줄이 파열되었을 가능성이 높은 경우입니다.
만약 이분이 잔잔한 통증 정도 있을때 빨리 와서 본인의 정확한 상태를 알았다면 어땠을까요?
힘줄 파열까지 이어지는 일은 막을 수 있지 않았을까 하는 아쉬움이 남습니다.

