당산 박상준원장입니다. 요즘 달리기가 다시 유행이죠. 특히 MBC 예능 ‘나 혼자 산다’에서 전현무와 배우 이주승이 강남에서 성수동까지 슬로우 조깅으로 이동하는 장면이 나가고, 그 구간이 시청률 ‘최고의 1분’을 기록하면서 대중의 관심이 더 커졌습니다.
https://news.nate.com/view/20250510n04873
전현무 이주승 강남→성수동 슬로조깅에 '나혼산' 최고 시청률 6.7% : 네이트 연예
한눈에 보는 오늘 : 방송/가요 - 뉴스 : [뉴스엔 박수인 기자] 전현무와 이주승이 대환장의 배드민턴 경기부터 충격의 동침(?)까지, 웃음 폭발 ‘혐관 케미’로 ‘新 베스트 커플’의 탄생을 알렸
news.nate.com
방송 클립과 보도에도 “러닝보다 핫한 슬로 조깅”이라는 표현이 반복될 만큼 화제였습니다. 그래서 오늘은 슬로우 조깅을 처음 시작하려는 분들을 위해, 원리와 방법, 준비물부터 발바닥 통증(족저근막염) 예방·치료까지 실제 진료실에서 가장 많이 받는 질문 중심으로 정리해보겠습니다. 당산 정형외과, 당산역 정형외과, 영등포 정형외과
슬로우 조깅이 뭔가요?
슬로우 조깅은 일본 후쿠오카대 다나카 히로아키 교수가 보급한 운동법으로, 핵심은 ‘니코니코 페이스’, 달리는 내내 미소 지을 수 있을 만큼 편안한 강도로 천천히 뛰는 것입니다. 옆 사람과 대화가 가능할 정도의 호흡, 보폭을 줄이고 발의 중앙(미드풋)에 가깝게 조용히 착지하는 폼이 특징입니다. 초보자라면 시속 3km 정도의 ‘걷는 듯한 속도’에서 시작해도 충분합니다. 중요한 건 속도가 아니라 지속입니다.
슬로우 조깅, 걷기·일반 조깅과 무엇이 다를까요?
걷기는 충격이 적지만 에너지 소모가 낮아 체력 향상 속도가 더딜 수 있고, 일반 조깅은 속도와 지구력이 빠르게 오르는 대신 초보자에게는 관절·건(힘줄) 스트레스가 커질 수 있습니다. 슬로우 조깅은 걷기와 조깅 그 사이에서 “숨이 차지 않는 강도+러닝의 탄성”을 결합합니다. 작게 디딤으로써 착지 충격을 분산하고, 대화 가능한 강도를 유지해 심폐 부담을 줄이면서도 러닝 특유의 리듬과 운동 효율을 가져오는 게 차별점입니다. (니코니코 페이스는 본인 컨디션에 맞는 ‘대화 가능 강도’라는 점을 기억해 주세요.)
슬로우 조깅 하려는데 무엇이 필요한가요?
시작 준비는 단순합니다. 쿠셔닝이 과도하지 않고 발볼이 맞는 러닝화 와 두께가 일정한 양말, 땀을 잘 말리는 상의와 하의면 충분합니다. 초심자라면 일주일에 3회, 20–30분 정도를 평탄한 노면에서, 말 그대로 “웃으면서” 뛰어 보세요. 계단·내리막·비포장처럼 미끄럽거나 경사가 심한 곳은 피하고, 거리와 시간은 ‘10% 규칙’(이전 주 대비 총 훈련량 10% 이내 증가)을 넘기지 않는 게 안전합니다. 미드풋 착지로 소리 나지 않게 디디고, 팔은 힘 빼고 가볍게 흔듭니다. 통증이 아니라 “약간의 노력감” 수준에서 멈추는 것도 요령입니다.
슬로우 조깅, 무엇을 조심해야 하나요?
슬로우 조깅은 안전하면서도 효과적인 운동법으로 관심을 받고 있습니다. 하지만 갑자기 운동을 시작한 분이거나 평발이 있는 분은 부상이 발생할 수 있는데요. 대표적인 부상이 바로 발바닥 통증, '족저근막염' 입니다. 족저근막염은 아침 첫걸음에 뒤꿈치·발바닥이 유독 따갑고, 오래 서 있거나 활동이 끝난 뒤에 통증이 되살아나는 것이 전형적입니다. 스스로 점검해 볼 수 있는 방법으로 ‘윈드라스(Windlass) 테스트’가 있습니다. 엄지발가락을 등쪽(발등 쪽)으로 젖혔을 때 발바닥 근막이 탱긴 느낌과 함께 통증이 발생하면 족저근막염을 의심해보셔야 합니다.
어떤 경우 병원에 가야 할까요?
① 아침 발 디딜 때의 통증이 2–3주 이상 계속될 때
② 한 달 이상 꾸준한 스트레칭에도 일상 통증이 남을 때
③ 발바닥뿐 아니라 아킬레스건·발목까지 뻣뻣함과 통증이 번질 때,
④ 체중 부하가 거의 어려울 정도로 악화될 때
이런 경우는 병원에 방문해서 진료를 받으셔야 합니다. 병원에 방문하면 우선 X-ray를 촬영하는데요 x-ray는 족저근막을 직접적으로 확인할수는 없고 평발 동반 유무와 같이 뼈 모양을 확인하는 검사입니다.
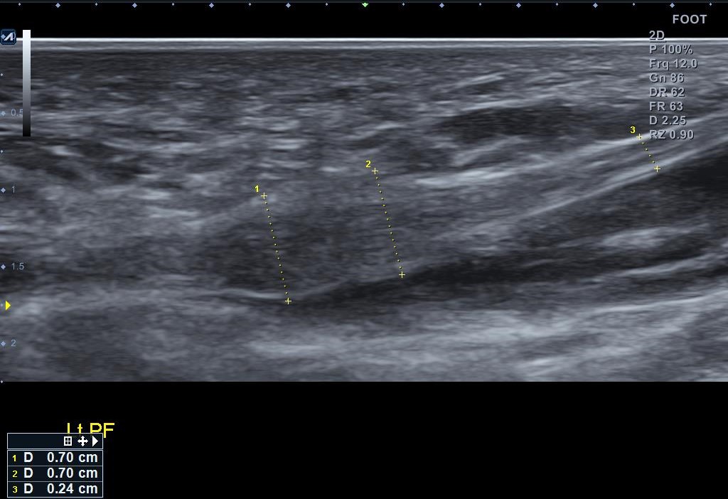
족저근막의 상태를 직접 확인하기 위해서는 초음파 검사가 꼭 필요한데요 초음파 검사를 통해 족저근막의 두께·염증 소견을 직접 확인합니다. 족저근막 두께 증가(보통 4mm 이상), 저에코(검게 보이는) 변화, 부착부(종골 내측 결절) 주변의 부종, 파열 여부, 필요 시 도플러로 활혈(염증성 혈류) 신호까지 확인할 수 있어, 현재 상태를 “눈으로” 보여주고 추적에도 유리합니다. 또한 종종 혼동되는 족저섬유종(결절성 변화) 등 감별에도 도움이 되는 검사가 초음파 검사입니다.

족저근막염, 스스로 할 수 있는 치료는 무엇이 있을까요?
집에서 스스로 할 수 있는 관리로는 스트레칭이 가장 중요합니다.
1) 수건을 이용한 발바닥·종아리 스트레칭

- 방법:
- 바닥이나 의자에 앉아 무릎을 곧게 편 상태로 다리를 뻗습니다.
- 발 앞쪽(발볼)에 수건이나 밴드를 걸고, 양손으로 수건을 몸 쪽으로 천천히 당깁니다.
- 발바닥 아치와 종아리 뒤쪽(비복근·가자미근)이 함께 늘어나는 느낌을 유지합니다.
- 포인트:
- 허리가 말리지 않도록 곧게 세운 채 실시하세요.
- 당기는 힘은 “통증 없는 긴장감” 수준까지만 조절합니다.
2) 벽을 이용한 종아리 스트레칭

- 방법:
- 벽을 마주보고 서서 손바닥을 벽에 댑니다.
- 한쪽 다리를 뒤로 뻗고, 뒤꿈치를 바닥에 단단히 붙입니다.
- 뒷다리 무릎을 곧게 편 상태로 몸을 벽 쪽으로 기울여 종아리 위쪽(비복근)을 늘립니다.
- 같은 자세에서 무릎을 살짝 굽히면 종아리 깊은 곳(가자미근)까지 자극됩니다.
- 포인트:
- 뒤꿈치가 바닥에서 들리지 않게 주의합니다.
- 허리를 과도하게 젖히지 말고 자연스럽게 몸을 기울이세요.
스트레칭으로 해결되지 않는 족저근막염, 병원 치료는 무엇이 있나요?
초음파 검사상 족저근막염이 심하지 않은 경우에는 소염진통제 처방과 물리치료를 진행합니다. 증상이 오래가거나 활동 제한이 크면 주사치료·체외충격파 치료(ESWT)를 고려합니다.
(1) 스테로이드 주사는 염증·통증을 빠르게 가라앉히는 장점이 있지만 반복·고용량 사용 시 드물게 근막 파열, 지방패드 위축, 피부 변색 등의 부작용이 보고되어 있습니다. 주입 부위·용량·횟수를 주의깊게 체크해야하고, 주사 후 1–2주 과부하를 피하는 이유가 여기에 있습니다.
(2) 프롤로(고농도 포도당) 주사는 손상된 콜라겐 조직의 리모델링을 유도하는 ‘증식치료’로, 비교적 안전하고 만성 통증에서 기능 점수 개선·근막 두께 감소 등의 효과를 보여주는 안전하고 효과적인 치료입니. 초음파 유도하에 시행하면 정확성과 안전성을 높일 수 있습니다.
(3) 체외충격파(ESWT)는 어떻게 작동할까요?
피부를 통과한 충격파가 병변 부위의 미세혈류·신경 신호·세포 기계수용체를 자극해 통증 조절과 족저근막 치유(혈관·콜라겐 재형성)를 촉진하는 비수술 치료입니다. “포커스형(f-ESWT)”과 “라디얼형(r-ESWT)”이 있으며, 에너지와 집속 깊이에 차이가 있습니다. 만성 족저근막염 환자에서 위약 대비 통증·기능·삶의 질이 개선되었다는 무작위 대조 연구가 있고, 다른 보존적 치료와 비교해 효과가 비슷하다는 최근 메타분석도 나왔습니다. 일반적으로 주 1~2 회, 총 3–5회가 일반적인 치료 방법이며, 시술 직후 과부하는 피하고 스트레칭·교정 운동을 병행하면 성과가 좋습니다.
슬로우 조깅은 ‘지치지 않는 강도’로 러닝의 장점을 즐길 수 있게 해 주면서 상대적으로 부상의 위험이 낮은 두마리 토끼를 다 잡을 수 있는 운동입니다. 다만 발바닥에 피로가 쌓이지 않도록 훈련량을 천천히 늘리고, 아침 뒤꿈치 통증이 길어지면 스트레칭을 부질헌히 해주셔야 합니다. 만약 통증이 조절되지 않는다면 병원에 방문하셔서 초음파 검사를 통해 정확한 진단을 받아 보시길 권합니다. 스테로이드·프롤로·ESWT 등 병원 치료는 각기 장단점이 뚜렷하기 때문에 주치의 선생님과 상의해 자신에게 필요한 맞춤치료를 받으시길 바랍니다.
많은 사람들이 관심을 가지고 있는 슬로우 조깅, 저는 먼저 “니코니코 페이스로 한 달”을 권하고, 그 사이에 발·종아리 스트레칭을 습관화해 보라고 말씀드립니다. 웃으면서 달리면, 달리기도 오래 갑니다. 당산 정형외과, 당산역 정형외과, 영등포 정
형외과

