당산역 정형외과 박상준의원 공식 블로그

전체 글 826

당산역 정형외과 허리디스크 도수치료가 통증 완화에 유용한 이유와 주의할 점

허리통증은 누구나 한 번쯤 경험하는 흔한 증상입니다. 오래 앉아 있거나 무거운 물건을 들었을 때 허리가 뻐근한 것은 일상적인 피로처럼 느껴지기 쉽습니다. 하지만 같은 부위의 통증이 자주 반복되거나, 다리까지 저릿한 느낌이 동반된다면 단순한 근육통이 아닐 수 있습니다. 특히 허리디스크는 초기에 단순한 요통으로 시작되는 경우가 많기 때문에 쉽게 지나치기 쉬운 질환입니다. 문제는 방치할수록 신경 압박이 심해지며 통증이 점점 고착화된다는 점인데요. ‘언젠가는 괜찮아지겠지’라는 생각으로 넘기기엔, 허리 부위의 디스크는 조기 관리가 무엇보다 중요한 질환입니다. 앞서 언급한 다리 저림이나 찌릿한 감각은 디스크가 탈출해 신경을 누르고 있다는 경고 신호일 수 있습니다. 특히 허리를 숙일 때 통증이 심하고, 일어설 때 ..

체외 충격파로 치료 안되던 석회성건염 환자 완치 이야기 (당산 정형외과, 당산역 정형외과, 영등포 정형외과)

당산 정형외과, 당산역 정형외과, 영등포 정형외과안녕하세요 오늘은 충격파 치료만으로 해결이 되지 않던 석회성 건염 환지의 치료 사례를 보여드리겠습니다. 얼마전 진료실에 연세가 70이 넘으신 어르신이 오셨습니다.나 : 어르신 어디가 아파서 오셨어요? 환자 : 어깨가 아파요 나 : 아픈지 얼마나 되셨어요? 환자 : 6개월 정도는 된거 같네요. 나 : 그동안 치료 안받으셨어요? 환자 : 치료했죠. 다른 병원에서 어깨에 석회가 끼었다고 해서 그동안 계속 치료 받았는데도 계속 아프네요 나 : 아 그래요? 무슨 치료를 받으셨어요? 환자 : 석회를 깨트리는 충격파 치료라고 해서 받았어요. 거의 10번은 받은거 같은데...석회성 건염(석회화 건염)을 진단받고 체외 충격파 치료만 무려 10회 이상 받았다는 환자, 팔을 ..

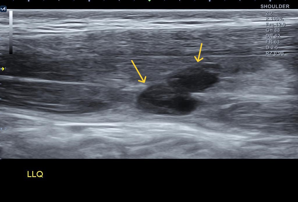
석회성 건염 치료 사례를 알려드립니다. (당산 정형외과, 당산역 정형외과, 영등포 정형외과)

당산 정형외과, 당산역 정형외과, 영등포 정형외과안녕하세요 오늘은 '석회성 건염' 치료 사례를 좀 보여드리려고 합니다. 이전에 한번 석회성 건염의 치료 결과를 보여드린 글이 있습니다.[박상준원장/통증이야기] - 석회성 건염은 완치될 수 있을까? 석회성 건염은 완치될 수 있을까? (당산 정형외과, 당산역 정형외과, 영등포 정형외과)안녕하세요 당산 정형외과 박상준의원, 박상준 원장입니다. 오늘은 석회성 건염에 관한 이야기를 해볼까 합니다. 진료실에 있다보면 갑작스런 관절 통증으로 찾아오시는 분들이 많습니다. 갑작fitnessworld.co.kr오늘도 석회성건염을 석회 흡입술 + 체외 충격파로 치료된 분들의 케이스를 보여드리도록 하겠습니다.(1) 갑자기 어깨가 아파서 온 환자이분은 60세 정도된 남자 분..

카테고리 없음 2025.04.30

운동하다가 종아리 근육 두 번 찢어진 환자 이야기 (당산 정형외과, 당산역 정형외과, 영등포 정형외과)

당산 정형외과, 당산역 정형외과, 영등포 정형외과안녕하세요 박상준원장입니다. 오늘은 운동하다가 종아리 근육이 파열된 환자 이야기를 해볼까합니다.나 : 어디가 불편하세요?환자 : 종아리가 아픕니다. 나 : 무슨일이 있으셨나요? 환자 : 며칠전에 농구하다가 종아리가 뜨끔했는데요... 그 이후로 계속 아프네요.. 농구하다가 갑자기 종아리 통증이 생겼다는 환자... 종아리를 살펴보니 우측 종아리 알통(비복근) 부위가 많이 부어있었습니다.나 : 보통 이런경우는 종아리 근육, 비복근 파열입니다. 검사를 좀 할건데요... x-ray 검사와 초음파 검사를 좀 하겠습니다.환자분에게 설명하고 검사를 진행했습니다. 결과는...당산 정형외과, 당산역 정형외과, 영등포 정형외과x-ray 상에서도 보면 우측 종아리 근육 부위가 ..

어깨 아프다고 미국에서 찾아온 환자 이야기 (당산 정형외과, 당산역 정형외과, 영등포 정형외과)

당산 정형외과, 당산역 정형외과, 영등포 정형외과안녕하세요 박상준원장입니다. 오늘은 어깨 통증으로 미국에서 찾아온(?) 환자 이야기를 해볼까 합니다. 얼마전 환자 한분이 오셨습니다. 접수를 했는데 이름은 한국인인데 건강보험이 없는지.... 일반으로 접수가 되었습니다.나 : 안녕하세요 어디가 아파서 오셨어요?환자 : 어깨가 아파서 왔습니다.나 : 어떻게 뭐하다가 통증이 생겼나요?환자 : 제가 집안 수리를 하면서 팔을 많이 사용하는데요... 3개월전 힘을주면서 팔을 쭉 뻗다가 뜨끔했는데 통증이 지속되네요나 : 검사는 안받으셨나요?환자 : 네 검사는 안받았습니다.나 : 우선 검사를 좀 할께요.... 근데 건강보험 적용이 안되네요?환자 : 아... 사실 제가 지금 미국에 사는 중인데... 볼일보러 한국 들어왔다..

석회성 건염은 치료될 수 있을까? (당산 정형외과, 당산역 정형외과, 영등포 정형외과)

안녕하세요 박상준 원장입니다. 오늘은 석회성 건염에 관한 이야기를 해볼까 합니다. 진료실에 있다보면 갑작스런 관절 통증으로 찾아오시는 분들이 많습니다. 갑작스런 관절 통증을 일으키는 질병은 여러가지가 있겠지만... 그중 대표적인 질병이 바로 '석회성 건염' 또는 '석회화 건염'이라는 질병입니다.당산 정형외과, 당산역 정형외과, 영등포 정형외과 석회성 건염은 어떤 질병인가요? 네이버 지식 백과에 따르면 ' 석회성건염은 칼슘 퇴적물이 힘줄에 침윤된, 자기 국한성의 통증을 동반하는 질병이다. 석회성건염은 우리 몸의 어느 힘줄에도 나타날 수 있지만, 대부분 어깨 관절의 극상건에서 발생하여 염증 및 통증을 야기하게 된다. [네이버 지식백과] 석회성건염 [Calcific tendinitis] (서울대학교병원 의학정..

스피닝타고 허벅지 아프다고 온 환자 이야기 (당산 정형외과, 당산역 정형외과, 당산동 정형외과)

안녕하세요 박상준원장입니다. 오늘은 스피닝 타고나서 허벅지가 붓고 아프다고 온 환자 이야기를 해볼까 합니다.나 : 어디가 아파서 오셨어요?환자 : 허벅지가 아파요나 : 언제 무슨일이 있으셨어요?환자 : 이틀전에 스피닝을 탔는데요... 그리고나서 허벅지가 붓고 아파서 걷기가 힘들어요 ㅜㅜ나 : 스피닝을 기존에 탔었나요? 아니면 처음 타신 건가요?환자 : 이전에 타본적은 없구요... 처음탄건데 이렇게 되었네요....스피닝을 처음 타고나서 허벅지가 붓고 아프다고 온 환자... 진료실에서 보니 양쪽 허벅지가 전체적으로 부어있었고 대퇴직근에 압통이 있었습니다. 이런 경우 제일 먼저 생각해야 하는 병이 '횡문근 융해증'입니다. 횡문긍 융해증이란 근육을 갑자기 과도하게 사용하면서 근육내에 마이오글로빈이라는 성분이 ..

카테고리 없음 2024.09.12

배가 아프다고 온 배드민턴 선수 이야기(2) (당산 정형외과, 당산역 정형외과, 당산동 정형외과, 합정역 정형외과, 합정 정형외과, 여의도 정형외과)

[박상준원장/통증이야기] - 배가 아프다고 온 배드민턴 선수 이야기(1) 나 : 시합은 나가셨어요? 복부 통증은 좀 어떠세요?환자 : 원장님.... 시합도 망쳤고... 무엇보다 통증이 훨씬 심해졌어요 ㅜㅜ나 : 연습하다 다시 통증이 생긴거에요? 아니면 시합중에?환자 : 시합에 나가기 위해서 연습은 거의 안했구요... 시합에 나가서 첫 게임에 스매싱하다가 갑자기 배에서 '뻑' 소리가 나서 쓰러졌어요...나 : 그래서 어떻게 됬어요?환자 : 어찌어찌 시합은 마쳤는데.... 배에 멍도 들고 무엇보다 배가 너무 아파요 ㅜㅜ 무조건 시합은 뛰어야 한다고 했던 환자.. 부상과 통증을 참고 어쩔 수 없이 시합에 참가한 후 부상이 심해진 걸로 보입니다. 좌측 하복부에 압통은 좀 더 심해져 있었고 주변에 멍까지 든걸로 ..

카테고리 없음 2024.09.07

배가 아프다고 온 배드민턴 선수 이야기(1) (당산정형외과, 당산역정형외과, 당산동정형외과, 당산 통증의학과, 당산역 통증의학과, 당산동 통증의학과)

당산정형외과 당산역정형외과 당산동정형외과 여의도정형외과 합정정형외과 합정역정형외과 당산통증의학과 당산역통증의학과 당산동통증의학과 선유도정형외과 선유도역정형외과안녕하세요 박상준 원장입니다. 오늘은 배가 아프다?고 온 배드민턴 선수 이야기를 해볼까 합니다.나 : 안녕하세요, 어디가 불편해서 오셨어요?환자 : 배가 아파서 왔습니다. 나 : 아 배가 아프세요... 설사를 하나요? 토하나요?환자 : 아 그렇게 아픈 배가 아닌데요... 제가 주로 진료를 보는 내용은 정형외과, 통증의학과인데... 그래도 가끔 감기 기운이나 장염, 위염, 고혈압, 당뇨등등으로 진료를 보러 오시는 환자분들이 있어서 위염이나 장염인가 했습니다. 나 : 그럼 어떻게 아프신데요.환자 : 아 사실 제가 배드민턴 선수인데요... 어제 연습중에 ..

웨이트 트레이닝 하고 어깨가 아프다고 온 환자 이야기 (당산 정형외과 당산역 정형외과)

안녕하세요 박상준원장입니다. 아주 오랫만에 블로그에 글을 올리네요... 오늘은 크로스핏 하다가 어깨가 아파서 온 환자 이야기를 좀 해볼까 합니다.나 : 어디가 아프세요?환자 : 우측 어깨가 아픕니다나 : 언제 무슨일이 있으셨어요?환자 : 제가 웨이트 트레이닝을 시작했는데.... 벤치 프레스랑 턱걸이 하면서 통증이 생겼습니다 웨이트 트레이닝을 하면서 어깨가 아파졌다는 환자, 우선 x-ray를 찍었습니다. 사진을 보니 우측 상완골 대결절 부위에 골극이 보입니다. 골극(bone spur)은 쉬운말로 '뼈가 자라있다'라고 말하곤 하는데요... 뼈의 특정 부위에 오랫동안 염증이 반복되는 등의 자극이 반복되면 관찰되는 소견입니다.나 : 어깨가 아프신게 처음이에요? 이전에도 약간씩 불편감이 있을셨을거 같은데요...환..